Intra-abdominal Infections: Appendicitis and Infections of the Liver and Biliary System

Author

Russell Lewis

Published

March 1, 2026

PART I: APPENDICITIS

Introduction

In 1886, Fitz first described the natural course of acute inflammation of the appendix, coining the term appendicitis and advocating early surgical intervention (Fitz, 1886). With an incidence of 108 cases per 100,000 person-years in the United States and 100 to 150 cases per 100,000 person-years in most upper-middle-income countries, appendicitis is among the most common surgical emergencies of the abdomen (Addiss et al., 1990). Improvements in clinical assessment, antibiotic therapy, and surgical management have reduced the overall mortality rate of acute appendicitis to less than 1%, although rates increase to 5% or more in the elderly (Berry and Malt, 1984; Blomqvist et al., 2001; Körner et al., 1997).

Epidemiology

The lifetime risk for acute appendicitis is 8.6% in men and 6.7% in women in industrialized countries (Körner et al., 1997). In 2018, a total of 190,000 appendectomies were performed in the United States, constituting 1.3% of all operating room procedures (Bhangu et al., 2015); however, this represents a 42% decrease since 2011, likely because of the increasing adoption of nonoperative medical management of uncomplicated appendicitis (Flum et al., 2020).

NoteKey Epidemiologic Point

Although the frequency of appendectomy surgery is declining, it is still ranked as the most common surgery for individuals aged 17 years and younger in the United States.

Appendicitis is rare in infants, but its incidence steadily increases through childhood and reaches a peak at 15 to 25 years of age for men and women (Berry and Malt, 1984; Blomqvist et al., 2001; Körner et al., 1997; Livingston et al., 2007). The incidence declines through adulthood, and less than 25% of cases occur in individuals older than 45 years. Men have slightly higher rates than women; the overall male-to-female rate ratio is 1.4:1 (Körner et al., 1997).

Similar to diverticulitis, the incidence of appendicitis is significantly lower in rural, nonindustrialized areas (Burkitt, 1971; Walker and Segal, 1995). Also like diverticulitis, appendicitis rates increase as societies become industrialized (Barker et al., 1986; Lee et al., 2010; Naaeder and Archampong, 1998).

Pathogenesis

Figure 1: Anatomy of the appendix showing its position relative to the cecum and terminal ileum.

The appendix is a tube-shaped structure, usually 5 to 10 cm long in adults, which arises 2 to 3 cm below the terminal part of the ileum along the medial posterior wall of the cecum (Schumpelick et al., 2000). Previously considered a vestigial organ, recent studies suggest that the appendix may contribute to the development and homeostasis of the gut microbiome and mucosal immune system (Randal Bollinger et al., 2007). Bacteria reside in the appendix within a mucus-rich biofilm that is intermittently shed into the intestinal tract at a rate of 2 to 3 mL per day (Randal Bollinger et al., 2007; Schumpelick et al., 2000).

TipClinical Pearl

The appendix has been hypothesized to act as a microbial “sanctuary” that can repopulate the intestinal tract when needed, for example during recovery from acute diarrheal illnesses (Bollinger et al., 2007; Randal Bollinger et al., 2007).

Typically, the appendix lies in an ascending retrocecal position, but atypical positions (descending pelvic, transverse retrocecal, ascending postileal) are common and can alter the typical clinical features (Schumpelick et al., 2000).

Physical obstruction of the appendiceal lumen by fecaliths or other causes (e.g., foreign bodies, tumor, stricture, or parasites) has classically been thought to be the primary pathogenic mechanism (Arnbjörnsson, 1983; Singh and Mariadason, 2013; Wangensteen and Bowers, 1937). Mucus accumulates within the obstructed lumen, and intraluminal pressure increases, leading to compression of lymphatic and vascular drainage and causing ischemic damage of the mucosa, followed by microbial invasion and inflammation. If left untreated, this may lead to gangrene and eventual perforation. The pathologic hallmark of acute appendicitis is the presence of polymorphonuclear cells within the appendiceal wall, accompanied by edema and vascular congestion.

Figure 2: Classic pathogenesis model of appendicitis: luminal obstruction leads to mucus accumulation, increased intraluminal pressure, lymphatic and vascular compression, ischemic mucosal damage, microbial invasion, and potentially gangrene and perforation.

In recent years, this classic model has faced challenges. Most modern case series report that fecaliths or other causes of obstruction are found in only a minority of cases (Carr, 2000; Singh and Mariadason, 2013). The efficacy of medical rather than surgical treatment also suggests that physical obstruction may not be the primary mechanism. Alternative inciting etiologies include infectious agents, socioeconomic factors, genetic susceptibility, environmental factors, dietary fiber, and microbiome imbalances leading to lymphoid hyperplasia and inflammation (Lamps, 2010; Singh and Mariadason, 2013).

Role of Diet and Fiber

Interest in dietary fiber dates back over a century. Short, noting high rates of appendicitis in Great Britain compared with Africa in the early 20th century, suggested that “the cause is the relatively less quantity of cellulose [fiber] eaten” (Short, 1920). Burkitt and colleagues later hypothesized that dietary fiber acted as a bulking agent, reducing risk for appendicitis (Adamidis et al., 2000; Burkitt, 1971). The influence of diet, dietary fiber, and the gut microbiome has been increasingly recognized (Bhangu, 2014; Lamps, 2010).

Microbiology

Conventional cultures of inflamed or gangrenous appendixes typically yield 10 to 14 different organisms, which generally reflect the colonic microbiota. A mixture of colonic anaerobic and facultative bacteria is usually recovered, predominantly Escherichia coli, Bacteroides fragilis group, pigmented Prevotella spp., Bilophila wadsworthia, Peptostreptococcus spp., Enterobacteriaceae, and viridans streptococci, particularly the Streptococcus anginosus group (Bennion et al., 1990; Brook, 1980; Roberts, 1988). Pseudomonas aeruginosa has also been found in a minority of cases (4%–15%) but is less frequently sensitive to routinely used antibiotics (Guinane et al., 2013; Swidsinski et al., 2011).

ImportantMicrobiome Insights

Culture-independent 16S rRNA gene amplicon sequencing-based studies have demonstrated that the microbial community of the appendix is remarkably diverse, consisting of more than a dozen phyla and hundreds of different species (Guinane et al., 2013; Jackson et al., 2014; Swidsinski et al., 2011; Zhong et al., 2014). The appendiceal microbiome is distinct in composition compared with elsewhere in the digestive tract (Rogers et al., 2016; Swidsinski et al., 2011).

A few taxa, including Fusobacterium, Peptostreptococcus, and Parvimonas—all typically considered to be oral commensal bacteria and occasional periodontal pathogens—are enriched in the inflamed appendix and are associated with disease severity (Swidsinski and Loening-Baucke, 2012; Zhong et al., 2014). This has led some investigators to hypothesize that rather than being caused by physical obstruction, acute appendicitis may be the consequence of dysbiosis (microbial imbalance) (Swidsinski et al., 2011; Zhong et al., 2014).

Specific Infectious Agents

In some instances, intestinal pathogens have been associated with acute appendicitis. Yersinia enterocolitica and Yersinia pseudotuberculosis are believed to have a causative role in some cases (Cover and Aber, 1989; Lamps, 2006; Lamps et al., 2003). More commonly, nonplague Yersinia causes ileocecitis or mesenteric adenitis, which mimics acute appendicitis with fever, leukocytosis, and acute right lower quadrant pain (Saebø and Lassen, 1992; Shorter et al., 1998). Similarly, Campylobacter and nontyphoidal Salmonella can cause pseudoappendicitis with ileocecitis and mesenteric adenitis (Mégraud, 1988; Puylaert et al., 1989). Appendiceal or ileocecal tuberculosis, actinomycosis, and histoplasmosis are more likely to cause subacute or recurrent disease (Butler, 1981; Salminen et al., 2018).

Viral causes of mesenteric adenitis and, rarely, appendicitis include measles, Epstein-Barr virus, cytomegalovirus, and adenovirus (Alder et al., 2010; Grynspan and Bhargava, 2013; Johnson, 1993). Amebiasis may also cause appendicitis (Gotoff, 1962). In many cases of mesenteric adenitis, an infectious cause is not identified but is probably present (Toorenvliet et al., 2011).

Clinical Manifestations

The clinical manifestations of acute appendicitis are distinctive and, in many cases, diagnostic. Appendicitis classically starts as colicky, visceral periumbilical pain that evolves for the next 6 to 24 hours to localized, somatic right lower quadrant abdominal pain after inflammation extends to the parietal peritoneum. If the inflamed appendix lies in the anterior position, tenderness is often maximal at or near the McBurney point, which lies two to three fingerbreadths above the right anterior superior iliac spine on a line with the umbilicus (Figure 3) (Wagner et al., 1996).

Figure 3: Location of the McBurney point — the point of maximal tenderness in anterior appendicitis.
WarningDiagnostic Challenge

Pelvic appendixes can cause pelvic or left lower quadrant pain. Third-trimester pregnancy or intestinal malrotation may shift pain to the right upper quadrant. Diagnosis is more difficult in women of childbearing age, in whom gynecologic processes may mimic appendicitis.

Guarding is usually seen on examination. Rebound tenderness in the right lower quadrant with palpation of the left lower quadrant, known as the Rovsing sign, may be elicited (Figure 4). Other maneuvers include pain with active extension of the right hip (the psoas sign), and pain with internal rotation of the right hip (the obturator sign) (Figure 5). High fever or a sudden reduction in pain suggests perforation, whereas abdominal rigidity suggests diffuse peritonitis.

Figure 4: The Rovsing sign: right lower quadrant pain elicited by palpation of the left lower quadrant.
(a) Psoas sign — pain with active extension of the right hip
(b) Obturator sign — pain with internal rotation of the right hip
Figure 5: Physical examination signs used in the evaluation of appendicitis.

Diagnosis

Laboratory Studies

The white blood cell count is elevated in approximately 70% to 80% of adults with appendicitis, with a predominance of polymorphonuclear leukocytes. C-reactive protein (CRP) is also frequently elevated and may be particularly useful for identifying complicated appendicitis.

Imaging

Clinical diagnosis is enhanced using imaging, especially computed tomography and ultrasonography. CT scanning with intravenous contrast has become the imaging modality of choice in most centers, with reported sensitivity and specificity both exceeding 95% (Bixby et al., 2006).

NoteImaging Approach

Ultrasonography is often the initial imaging study of choice in children and pregnant women. CT is preferred in adults. Uncomplicated appendicitis typically shows a dilated (>6 mm) appendix with periappendiceal fat stranding on CT.

Scoring Systems

Scoring systems such as the Alvarado score and Appendicitis Inflammatory Response (AIR) score combine clinical, laboratory, and sometimes imaging findings to stratify patients by risk.

Therapy

Surgical Management

Surgical removal of the appendix, often performed laparoscopically, is curative. Laparoscopic appendectomy has become the standard of care and is associated with shorter hospital stays, less postoperative pain, and lower wound infection rates compared with open surgery.

Figure 6: Laparoscopic appendectomy — the current standard of care for surgical management of appendicitis.

Antibiotic Therapy

Adjunctive use of broad-spectrum antibiotics, such as piperacillin-tazobactam or ceftriaxone and metronidazole, may be required. For perforated appendicitis, a typical course of 3 to 5 days of intravenous antibiotics followed by oral therapy is standard.

TipAntibiotic-First Strategy

An “antibiotic first” strategy has emerged as a safe and effective nonoperative treatment option for acute uncomplicated appendicitis, with outcomes comparable to those of appendectomy. Several large randomized trials have demonstrated that initial antibiotic treatment can avoid surgery in approximately 60% to 70% of patients with uncomplicated appendicitis.


PART II: INFECTIONS OF THE LIVER AND BILIARY SYSTEM

Liver Abscess

Liver abscesses fall broadly into two categories: amebic and pyogenic. Amebic liver abscess represents a unique clinical entity caused by invasive Entamoeba histolytica infection, characterized by specific induction of hepatocyte apoptosis. Pyogenic liver abscess is the result of several distinct pathologic processes that cause a suppurative infection of the liver parenchyma.

Epidemiology and Etiology

Amebic Liver Abscess

In the United States, amebic liver abscess has become a rare disease found almost exclusively in travelers, immigrants, and men who have sex with men. In 1994, the last year in which incidence data were collected, there were only 2983 total cases of amebiasis (Stanley, 2003a). From 1993 through 2007, approximately 4100 patients were hospitalized in the United States with amebic liver abscess, with the annual incidence decreasing on average 2.4% annually (Guo et al., 2014).

Worldwide, contamination of food and drinking water has maintained E. histolytica infection second only to malaria as a cause of death from parasitic disease. The epidemiology has been greatly informed by the appreciation that Entamoeba dispar, a closely related nonpathogenic species, colonizes between 5% and 25% of persons (Clark and Diamond, 1993; Diamond and Clark, 1993; Haque et al., 2003).

NoteSpecies Distinction

E. dispar has no apparent propensity for invasive disease. In industrialized countries, most asymptomatic individuals with Entamoeba in their stool are colonized with E. dispar, whereas in endemic regions, asymptomatic infection with E. histolytica may exceed the rate of E. dispar colonization.

Pyogenic Liver Abscess

The incidence of pyogenic liver abscess is about 1 to 4 cases per 100,000 individuals annually in the United States and Europe (Huang et al., 1996; Kaplan et al., 2004; Meddings et al., 2010; Rahimian et al., 2004; Tsai et al., 2008). This incidence has been relatively stable, albeit with a slight increasing trend in more recent case series. In Asia, the incidence may be 5- to 10-fold higher and is associated with the emergence of community-acquired Klebsiella pneumoniae infection (Fang et al., 2007; Wang et al., 1998a).

Pyogenic liver abscess is a disease of middle-aged persons, with a peak incidence in the fifth and sixth decades of life. About one-half of patients have a solitary abscess. Right-sided abscesses are most common, followed by left-sided and then abscesses involving the caudate lobe.

Routes of Hepatic Invasion

Table 1: Frequency of Route of Infection in Hepatic Abscess
Route of Infection Frequency (%)
Biliary tree 40–50
Hepatic artery 5–10
Portal vein 5–15
Direct extension 5–10
Trauma 0–5
Cryptogenic 20–40

1. Biliary tree. Cholangitis is now the major identifiable cause of pyogenic liver abscess. The underlying biliary obstruction is usually a result of gallstone disease, but can also be caused by obstructing tumor, occluded stent, Ascaris lumbricoides migration, or overwhelming cryptosporidiosis.

2. Hepatic artery. Any systemic bacteremia (e.g., endocarditis, line sepsis) can spread to the liver via this route.

3. Portal vein. Pylephlebitis from diverticulitis, pancreatitis, omphalitis, inflammatory bowel diseases, or postoperative infection can result in pyogenic liver abscess. Untreated appendicitis was historically a major cause but has greatly diminished with the introduction of antibiotics.

4. Direct extension from a contiguous focus of infection. This may occur with cholecystitis or subphrenic, perinephric, or other intraabdominal abscesses.

5. Trauma. Any penetrating trauma to the liver, even as subtle as ingestion of a toothpick, can result in abscess formation. Blunt trauma, hepatic destruction from sickle cell disease, tumor necrosis, or cirrhosis can predispose to abscess formation.

ImportantRisk Factors for Pyogenic Liver Abscess

Diabetes imparts a greater than threefold risk of development of pyogenic liver abscess (Thomsen et al., 2007). Conditions of neutrophil dysfunction (e.g., chronic granulomatous disease) are associated with a marked predisposition for hepatic and other abscesses. Hemochromatosis conveys particular susceptibility to abscesses caused by Yersinia enterocolitica (Vadillo et al., 1994).

Pathogenesis and Pathophysiology

Amebic Liver Abscess

Infection with E. histolytica results from ingestion of cysts in fecally contaminated food or water. Excystation occurs in the intestinal lumen, and trophozoites migrate to the colon, where they adhere by means of a lectin that specifically binds galactose N-acetyl-D-galactosamine (the Gal/GalNAc lectin) on colonic epithelium and multiply by binary fission (Petri et al., 2002, 1987).

Figure 7: Life cycle of Entamoeba histolytica showing transmission via fecal-oral route, excystation, and tissue invasion.

A number of virulence factors have been implicated, including small proteins (amoebapores) that punch holes in lipid bilayers of target cells, cysteine proteases, and the Gal/GalNAc lectin (Ankri et al., 1999; Huston, 2004; Leippe, 1997; Que and Reed, 2000; Seigneur et al., 1998; Stanley, 2003b; Tillack et al., 2007).

E. histolytica induces apoptosis in hepatocytes and neutrophils, forming large, nonpurulent, “anchovy paste” abscesses that grow inexorably without treatment (Ghosh et al., 2003; Ragland et al., 1994). The mechanism by which E. histolytica induces apoptosis is unknown, but its importance is underscored by the resistance of caspase-3–deficient mice to amebic liver abscess formation (Huston et al., 2000; Yan and Stanley, 2001).

Figure 8: Characteristic “anchovy paste” material aspirated from an amebic liver abscess — the nonpurulent appearance results from E. histolytica-induced hepatocyte apoptosis rather than necrosis.

Predisposition to liver disease is influenced by host genetics. Individuals with the major histocompatibility complex haplotype HLA-DR3 have an increased frequency of amebic liver abscess (Arellano et al., 2005; Srivastava and Bhargava, 2005). Host factors in containment include complement, neutrophils, interferon-γ, nitric oxide, and adaptive immune responses (Begum et al., 2015; Haque et al., 2007; Houpt et al., 2002; Moonah et al., 2013; Seydel et al., 2000).

Pyogenic Liver Abscess

Pyogenic liver abscess occurs whenever the initial inflammatory response fails to clear an infectious insult to the liver. Pyogenic liver abscesses are usually classified by presumed route of hepatic invasion: (1) biliary tree, (2) portal vein, (3) hepatic artery, (4) direct extension, and (5) penetrating trauma.

Microbiology

Amebic Liver Abscess

Although E. histolytica is the only species of Entamoeba known to cause invasive infections, certain strains may be more proficient at causing liver disease (Ali et al., 2007; Haghighi et al., 2002; Zaki et al., 2002). Ali and colleagues analyzed paired isolates from patients with concurrent amebic liver abscesses and intestinal infection and found discordant genotypes, suggesting either genetic reorganization during invasion or that only a subset of strains is capable of metastasizing to the liver (Ali et al., 2003).

Pyogenic Liver Abscess

The microbiology of pyogenic liver abscess is complex. Abscess cultures are positive in 80% to 90% of cases. Anaerobic organisms are recovered 15% to 30% of the time. Many liver abscesses are polymicrobial, with estimates ranging from 20% to 50% (Brook and Frazier, 1998).

Table 2: Microbiology of Liver Abscess
Type of Organism Common (>10%) Uncommon (1%–10%)
Gram-negative Escherichia coli, Klebsiella spp. Pseudomonas, Proteus, Enterobacter, Citrobacter, Serratia
Gram-positive Streptococcus (anginosus group), Enterococcus spp., Other viridans group streptococci Staphylococcus aureus, β-Hemolytic streptococci
Anaerobic Bacteroides spp. Fusobacterium, Anaerobic streptococci, Clostridium spp., Lactobacilli

Epidemic Klebsiella pneumoniae Pyogenic Liver Abscess

In the mid-1980s, investigators in Taiwan first noted a distinctive syndrome of monomicrobial K. pneumoniae pyogenic liver abscess in individuals who were often diabetic but had no biliary tract disorders (Chang and Chou, 2000; Liu et al., 1986; Wang et al., 1998b). Subsequently, community-acquired K. pneumoniae liver abscess has become a major health problem in parts of Asia, accounting for 80% of all cases of pyogenic liver abscess (Fang et al., 2007; Tsai et al., 2008), and has been reported in North America, Europe, Africa, and Australia (Chung et al., 2007; Foo et al., 2010; Lederman and Crum, 2005; Lee et al., 2008; McCabe et al., 2013; Moore et al., 2013; Rahimian et al., 2004; Siu et al., 2012).

Figure 9: Hypervirulent Klebsiella pneumoniae — the mucoid “string test” phenotype characteristic of hypermucoviscous strains associated with community-acquired liver abscess.
WarningConvergent Drug-Resistant Strains

Hypermucoviscous strains of K. pneumoniae are typically highly drug sensitive, unlike classic health care–associated strains. However, convergent strains that are both hypermucoviscous and multidrug resistant (MDR) or extensively drug resistant (XDR) can emerge, posing a serious public health challenge (Gu et al., 2018).

Infections are primarily caused by capsular serotypes K1 or K2. A 25-kb chromosomal element containing 20 open reading frames directs K1 capsular polysaccharide synthesis (CPS). Mutagenesis of the cps gene, magA (mucoviscosity-associated gene A), abolishes hypermucoviscosity and increases sensitivity to phagocytosis (Chuang et al., 2006; Fang et al., 2004; Struve et al., 2005; Yu et al., 2007).

Clinical Manifestations

Amebic Liver Abscess

Patients with amebic liver abscess typically present with fever and a dull, aching pain localizing to the right upper quadrant. Only 15% to 35% of patients present with concurrent gastrointestinal symptoms. Symptoms are acute (<2 weeks’ duration) in about two-thirds of cases but can develop months to years after travel to an endemic area. The presentation is indistinguishable from pyogenic liver abscess on clinical grounds; epidemiologic risk factors (corticosteroid use, male sex) are of paramount importance.

Figure 10: Geographic distribution of endemic areas for amebic liver abscess — travel history to these regions should prompt consideration of amebic etiology in patients with liver abscess.

Pyogenic Liver Abscess

Only 1 patient in 10 presents with the classic triad of fever, jaundice, and right upper quadrant tenderness. Fever is common, often without localizing signs but with a general failure to thrive, including malaise, fatigue, anorexia, or weight loss.

Table 3: Signs and Symptoms of Liver Abscess
Feature Amebic Liver Abscess Pyogenic Liver Abscess
Epidemiology
Male-to-female ratio 5–18 1–2.4
Age (years) 30–40 50–60
Duration (days) <14 (≈ 75% of cases) 5–26
Mortality (%) 10–25 0–5
Symptoms and Signs (Approximate % of Cases)
Fever 80 80
Weight loss 40 30
Abdominal pain 80 55
Diarrhea 15–35 10–20
Cough 10 5–10
Jaundice 10–15 10–25
Right upper quadrant tenderness 75 25–55
Laboratory Tests (Approximate % of Cases)
Leukocytosis 80 75
Elevated alkaline phosphatase 80 65
Solitary lesion 70 70

Diagnosis

The diagnosis of liver abscess should be suspected in all patients with fever, leukocytosis, and a space-occupying liver lesion. Leukocytosis is present in most patients. An elevated alkaline phosphatase concentration is the most frequently abnormal liver function test, occurring in about two-thirds of patients, but a normal value does not exclude the diagnosis.

ImportantPrognostic Markers

A hemoglobin concentration of less than 10 g/dL and a blood urea nitrogen concentration greater than 28 mg/dL were independent predictors of mortality in patients found to have pyogenic liver abscess (odds ratios of 13 and 14, respectively) (Chen et al., 2009).

Imaging

Once the diagnosis is suspected, radiographic imaging studies are essential. Ultrasonography has a sensitivity of 70% to 90%. Contrast-enhanced CT scanning has improved sensitivity (≈ 95%) and is superior for guiding complex drainage procedures (Halvorsen et al., 1984).

Amebic Serology

Serum amebic serology by enzyme immunoassay has a sensitivity of about 65% to 92% and is highly specific for E. histolytica infection (Haque et al., 1995). Although serology can be negative during acute presentation (symptom duration <2 weeks), a repeat serology determination is usually positive (Blessmann et al., 2003; Haque et al., 2000; Stanley et al., 1991; Tanyuksel and Petri, 2003).

Therapy

Amebic Liver Abscess

Amebic liver abscess can almost always be treated with medical therapy alone. Metronidazole (750 mg three times daily) is typically given for 7 to 10 days. An alternative is tinidazole (2 g daily for 3 days). Other nitroimidazoles with extended half-lives include secnidazole and ornidazole.

TipLuminal Treatment

Patients frequently remain colonized with E. histolytica despite nitroimidazole treatment and should be treated with paromomycin, a nonabsorbable aminoglycoside with E. histolytica activity, to eliminate this condition (Blessmann and Tannich, 2002; Irusen et al., 1992).

Uncomplicated amebic liver abscess does not require drainage. Percutaneous image-guided aspiration has replaced surgical drainage when drainage is needed, such as when there is no response to appropriate therapy, uncertainty about the diagnosis, exclusion of pyogenic liver abscess, or bacterial superinfection.

Pyogenic Liver Abscess

Unlike amebic liver abscess, pyogenic liver abscesses usually require drainage in addition to antibiotic therapy. Percutaneous catheter drainage is the preferred primary therapy, with success rates of 69% to 90%.

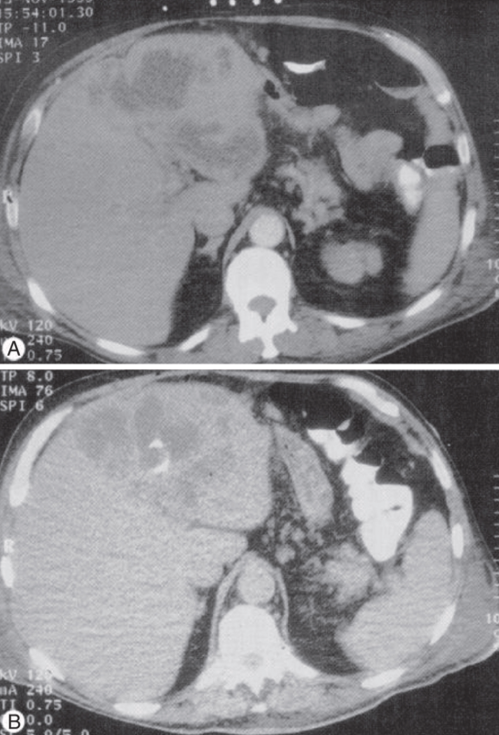
Figure 11: CT imaging of pyogenic liver abscess with percutaneous drainage. CT-guided aspiration is the preferred approach for both diagnostic confirmation and therapeutic drainage.
Table 4: Antibiotic Therapy for Pyogenic Hepatic Abscess. a Metronidazole or tinidazole should be included for presumptive therapy of amebic abscess if suspected.
Type of Therapy Agents
Monotherapy
β-Lactam–β-lactamase inhibitor combination Piperacillin-tazobactam
Carbapenem Imipenem-cilastin, meropenem, ertapenem
Combination Therapy
Cephalosporin-based Third- or fourth-generation cephalosporin (cefotaxime, ceftriaxone, ceftazidime, cefepime) plus metronidazole
Fluoroquinolone-based Fluoroquinolone (ciprofloxacin, levofloxacin, moxifloxacin) plus metronidazole
NoteAntibiotic Duration

To date, no randomized clinical trials have evaluated the optimal duration of antibiotic treatment for pyogenic liver abscess. A meta-analysis of 16 studies reported treatment durations as long as 68.9 days and a pooled mean treatment duration of 32.7 days (Cai et al., 2015). Some studies have reported successful treatment with less than 4 to 6 weeks of therapy. Historically, parenteral antibiotics for 2 to 3 weeks followed by oral agents to complete 4 to 6 weeks total has been the standard approach.

Infection of the Biliary System

Infections of the biliary tract, including the common bile duct and gallbladder, are most often associated with obstruction to the flow of bile. In the United States, gallstones are common and most often asymptomatic.

Figure 12: Cholelithiasis — gallstones are the most common cause of biliary obstruction leading to cholecystitis and cholangitis.

Cholecystitis

Cholecystitis is inflammation and bacterial infection of the gallbladder, usually resulting from obstruction by gallstones. Acalculous cholecystitis involves a similar inflammatory process without stones and is more common in critically ill patients, carrying a higher mortality rate. Treatment consists of cholecystectomy combined with antibiotic therapy.

Figure 13: Acute cholecystitis — inflammation of the gallbladder wall with surrounding inflammatory changes.

Cholangitis

Cholangitis is infection of the bile ducts, representing a life-threatening emergency that requires urgent biliary decompression. The classic presentation is the Charcot triad of fever, jaundice, and right upper quadrant pain. The Reynolds pentad adds hypotension and altered mental status, indicating progression to sepsis. Mortality ranges from 5–10% with treatment to up to 90% without surgical and antibiotic intervention.

Figure 14: Ascending cholangitis — infection ascends through the biliary tree when drainage is obstructed.

Biliary Drainage Procedures

Biliary decompression is the cornerstone of management for cholangitis and should be performed urgently. The two main approaches are endoscopic retrograde cholangiopancreatography (ERCP) and percutaneous transhepatic drainage.

(a) ERCP — endoscopic approach for biliary drainage and stone removal
(b) Percutaneous transhepatic drainage — alternative approach when ERCP is not feasible
Figure 15: Biliary drainage procedures used in the management of cholangitis.

Antibiotic Therapy for Biliary Tract Infections

The choice of antibiotic for biliary tract infections must take into account the ability of the agent to achieve adequate concentrations in bile. The antibiotic bile/serum concentration ratio (ABSCR) provides a useful guide to drug selection.

Table 5: Antibiotic Bile/Serum Concentration Ratios (ABSCR). Source: Ansaloni et al. PMID 27307785.
Good Penetration (ABSCR ≥1) ABSCR Low Penetration (ABSCR <1) ABSCR
Piperacillin/tazobactam 4.8 Ceftriaxone 0.75
Tigecycline >10 Cefotaxime 0.23
Amoxicillin/clavulanate 1.1 Meropenem 0.38
Ciprofloxacin >5 Ceftazidime 0.18
Ampicillin/sulbactam 2.4 Vancomycin 0.41
Cefepime 2.04 Amikacin 0.54
Levofloxacin 1.6 Gentamicin 0.30
Penicillin G >5
Imipenem 1.01

Mild–Moderate Severity (Community-Acquired, No Prior Biliary Instrumentation)

For community-acquired cholecystitis and cholangitis in patients without prior biliary instrumentation and low resistance risk, the following regimens are recommended:

Table 6: Antibiotic Regimens for Mild–Moderate Biliary Tract Infections
Regimen Agents
3rd-generation cephalosporin Ceftriaxone, cefotaxime
2nd-generation cephalosporin Cefuroxime
1st-generation cephalosporin Cefazolin (cholecystitis only)
Fluoroquinolone Ciprofloxacin, levofloxacin (if local resistance permits)
β-Lactam/β-lactamase inhibitor Amoxicillin/clavulanate
NoteAnaerobic Coverage

Anaerobic coverage is not required for mild–moderate biliary tract infections unless the patient has a bilioenteric anastomosis or prior biliary intervention.

Severe or Healthcare-Associated Biliary Tract Infections

For Grade III cholangitis, healthcare-acquired infections, patients with prior biliary instrumentation, or those at high resistance risk, broader empiric therapy is warranted:

Table 7: Antibiotic Regimens for Severe/Healthcare-Associated Biliary Tract Infections (Solomkin et al., 2010)
Regimen Agents
Carbapenem Imipenem/cilastatin, meropenem, ertapenem
β-Lactam/β-lactamase inhibitor Piperacillin/tazobactam
Fluoroquinolone + anaerobic cover Ciprofloxacin or levofloxacin + metronidazole
ImportantAdditional Considerations for Severe Biliary Infections

Add vancomycin if MRSA risk is present (prior MRSA colonization, healthcare-associated infection). Add fluconazole if Candida risk is elevated (immunosuppressed patients, prolonged prior antibiotic exposure). Fluoroquinolone-based regimens should be adjusted for local antibiogram data, as E. coli fluoroquinolone resistance exceeds 10% in many centers.


Summary Comparison Tables

Comparing Hepato-Biliary Infections

Table 8: Summary Comparison of Appendicitis, Amebic Liver Abscess, and Pyogenic Liver Abscess
Appendicitis Amebic Abscess Pyogenic Abscess
Peak age 15–25 years 30–40 years 50–60 years
Cause Obstruction/dysbiosis E. histolytica Biliary/polymicrobial
Diagnosis CT Serology + imaging Culture + imaging
Treatment Surgery or antibiotics Metronidazole Drainage + antibiotics

Comparing Cholecystitis and Cholangitis

Table 9: Comparison of Cholecystitis and Cholangitis
Cholecystitis Cholangitis
Structure involved Gallbladder Bile ducts
Cause Gallstone obstruction; acalculous in critically ill Biliary obstruction (stones, stricture, malignancy)
Clinical features Fever, RUQ pain, Murphy’s sign Charcot triad (fever, jaundice, RUQ pain); Reynolds pentad if septic
Urgency Urgent (elective if mild) Medical emergency — biliary decompression within 24–48 h
Diagnosis Ultrasound ± CT Clinical + ultrasound/MRCP/CT
Microbiology E. coli, Klebsiella, Enterococcus Same + anaerobes if bilioenteric anastomosis
Source control Cholecystectomy (laparoscopic preferred) ERCP or percutaneous transhepatic drainage
Antibiotics — mild Cefazolin, ceftriaxone, amoxicillin/clavulanate 3rd-gen cephalosporin, fluoroquinolone
Antibiotics — severe Piperacillin/tazobactam, carbapenem Piperacillin/tazobactam, carbapenem ± vancomycin
Mortality <1% (calculous); higher in acalculous 5–10% treated; up to 90% without decompression
TipKey Distinction

Both cholecystitis and cholangitis share biliary obstruction as the primary driver. The critical distinction is urgency: cholangitis mandates emergent decompression, while cholecystitis management can be staged based on severity.

References

References

Adamidis D, Roma-Giannikou E, Cartsos V, Tzambouras N, Giannikou P. Fiber intake and childhood appendicitis. International Journal of Food Sciences and Nutrition 2000;51:153–7.
Addiss DG, Shaffer N, Fowler BS, Tauxe RV. The epidemiology of appendicitis and appendectomy in the United States. American Journal of Epidemiology 1990;132:910–25. https://doi.org/10.1093/oxfordjournals.aje.a115734.
Alder AC, Fomby TB, Woodward WA, Haley RW, Sarosi G, Livingston EH. Association of viral infection and appendicitis. Archives of Surgery 2010;145:63–71.
Ali IK, Hossain MB, Roy S, Ayeh-Kumi PF, Petri WA Jr., Haque R, et al. Entamoeba moshkovskii infections in children, Bangladesh. Emerging Infectious Diseases 2003;9:580–4.
Ali IK, Mondal U, Roy S, Haque R, Petri WA Jr., Clark CG. Evidence for a link between parasite genotype and outcome of infection with Entamoeba histolytica. Journal of Clinical Microbiology 2007;45:285–9.
Ankri S, Stolarsky T, Bracha R, Padilla-Vaca F, Mirelman D. Antisense inhibition of expression of cysteine proteinases affects Entamoeba histolytica-induced destruction of human intestinal epithelial cell monolayers. Infection and Immunity 1999;67:421–2.
Arellano J, Perez-Rodriguez M, Lopez-Osuna M, Velazquez JR, Granados J. HLA-DR and development of amebic liver abscess. Human Immunology 2005;66:177–80.
Arnbjörnsson E. Acute appendicitis and dietary fiber. Archives of Surgery 1983;118:868–70.
Barker DJ, Morris J, Nelson M. Vegetable consumption and acute appendicitis in 59 areas in England and Wales. British Medical Journal 1986;292:927–30. https://doi.org/10.1136/bmj.292.6525.927.
Begum S, Quach J, Bhargava A. Innate and adaptive immunity to amebic liver disease. Parasite Immunology 2015;37:113–22.
Bennion RS, Baron EJ, Thompson JE Jr., Downes J, Summanen P, Talan DA, et al. The bacteriology of gangrenous and perforated appendicitis—revisited. Annals of Surgery 1990;211:165–71. https://doi.org/10.1097/00000658-199002000-00008.
Berry J Jr., Malt RA. Appendicitis near its centenary. Annals of Surgery 1984;200:567–75. https://doi.org/10.1097/00000658-198411000-00002.
Bhangu A. Safety of short, in-hospital delays before surgery for acute appendicitis: Multicentre cohort study, systematic review, and meta-analysis. Annals of Surgery 2014;259:894–903.
Bhangu A, Söreide K, Di Saverio S, Assarsson JH, Drake FT. Acute appendicitis: Modern understanding of pathogenesis, diagnosis, and management. The Lancet 2015;386:1278–87. https://doi.org/10.1016/S0140-6736(15)00275-5.
Bixby SD, Lucey BC, Soto JA, Theysohn JM, Siewert B, Nottingham JM. CT of acute appendicitis: Appearance and complications. American Journal of Roentgenology 2006;187:748–54.
Blessmann J, Binh HD, Hung DM, Tannich E, Burchard G. Treatment of amoebic liver abscess with metronidazole alone or in combination with ultrasound-guided needle aspiration: A comparative, prospective and randomized study. Tropical Medicine and International Health 2003;8:1030–4.
Blessmann J, Tannich E. Treatment of asymptomatic intestinal Entamoeba histolytica infection. New England Journal of Medicine 2002;347:1384.
Blomqvist PG, Andersson RE, Granath F, Lambe MP, Ekbom AR. Mortality after appendectomy in Sweden, 1987–1996. Annals of Surgery 2001;233:455–60. https://doi.org/10.1097/00000658-200104000-00001.
Bollinger RR, Barbas AS, Bush EL, Lin SS, Parker W. Biofilms in the normal human large bowel: Fact rather than fiction. Gut 2007;56:1481–2.
Brook I. Bacterial studies of peritoneal cavity and postoperative surgical wound drainage following perforated appendix in children. Annals of Surgery 1980;192:208–12.
Brook I, Frazier EH. Microbiology of liver and spleen abscesses. Journal of Medical Microbiology 1998;47:1075–80. https://doi.org/10.1099/00222615-47-12-1075.
Burkitt DP. The aetiology of appendicitis. British Journal of Surgery 1971;58:695–9. https://doi.org/10.1002/bjs.1800580916.
Butler T. Appendiceal and mesenteric infections with Actinomyces species. Clinical Infectious Diseases 1981;3:520–4.
Cai YL, Xiong XZ, Lu J, Cheng Y, Yang C, Lin YX, et al. Percutaneous needle aspiration versus catheter drainage in the management of liver abscess: A systematic review and meta-analysis. HPB 2015;17:195–201. https://doi.org/10.1111/hpb.12332.
Carr NJ. The pathology of acute appendicitis. Annals of Diagnostic Pathology 2000;4:46–58. https://doi.org/10.1016/S1092-9134(00)90011-X.
Chang FY, Chou MY. Comparison of pyogenic liver abscesses caused by Klebsiella pneumoniae and non-Klebsiella pneumoniae pathogens. Journal of the Formosan Medical Association 2000;99:466–71.
Chen SC, Huang CC, Tsai SJ, Yen CH, Lin DB, Wang PH, et al. Severity of disease as main predictor for mortality in patients with pyogenic liver abscess. American Journal of Surgery 2009;198:164–72.
Chuang YP, Fang CT, Lai SY, Chang SC, Wang JT. Genetic determinants of capsular serotype K1 of Klebsiella pneumoniae causing primary pyogenic liver abscess. Journal of Infectious Diseases 2006;193:645–54. https://doi.org/10.1086/499968.
Chung DR, Lee SS, Lee HR, Kim HB, Choi HJ, Eom JS, et al. Emerging invasive liver abscess caused by K1 serotype Klebsiella pneumoniae in Korea. Journal of Infection 2007;54:578–83.
Clark CG, Diamond LS. Entamoeba histolytica: An explanation for the reported conversion of “nonpathogenic” amebae to the “pathogenic” form. Experimental Parasitology 1993;77:456–60.
Cover TL, Aber RC. Yersinia enterocolitica. New England Journal of Medicine 1989;321:16–24. https://doi.org/10.1056/NEJM198907063210104.
Diamond LS, Clark CG. A redescription of Entamoeba histolytica Schaudinn, 1903 (emended Walker, 1911) separating it from Entamoeba dispar Brumpt, 1925. Journal of Eukaryotic Microbiology 1993;40:340–4.
Fang CT, Chuang YP, Shun CT, Chang SC, Wang JT. A novel virulence gene in Klebsiella pneumoniae strains causing primary liver abscess and septic metastatic complications. Journal of Experimental Medicine 2004;199:697–705. https://doi.org/10.1084/jem.20030857.
Fang CT, Lai SY, Yi WC, Hsueh PR, Liu KL, Chang SC. Klebsiella pneumoniae genotype K1: An emerging pathogen that causes septic ocular or central nervous system complications from pyogenic liver abscess. Clinical Infectious Diseases 2007;45:284–93. https://doi.org/10.1086/519262.
Fitz RH. Perforating inflammation of the vermiform appendix: With special reference to its early diagnosis and treatment. American Journal of the Medical Sciences 1886;92:321–46.
Flum DR, Davidson GH, Monsell SE, Aber JL, Alfonso-Cristancho R, et al. A randomized trial comparing antibiotics with appendectomy for appendicitis. New England Journal of Medicine 2020;383:1907–19. https://doi.org/10.1056/NEJMoa2014320.
Foo NP, Chen KT, Lin HJ, Guo HR. Characteristics of pyogenic liver abscess patients with and without diabetes mellitus. American Journal of Gastroenterology 2010;105:328–35.
Ghosh S, Frei E, Bhargava A, Bhatti B, Bhatt A. Apoptosis pathways in amebic liver abscess. Journal of Infectious Diseases 2003;187:1660–70.
Gotoff SP. Amebic appendicitis. Pediatrics 1962;30:872–3.
Grynspan D, Bhargava R. Viral associated appendicitis. Diagnostic Histopathology 2013;19:366–9.
Gu D, Dong N, Zheng Z, Lin D, Huang M, Wang L, et al. A fatal outbreak of ST11 carbapenem-resistant hypervirulent Klebsiella pneumoniae in a Chinese hospital: A molecular epidemiological study. The Lancet Infectious Diseases 2018;18:37–46. https://doi.org/10.1016/S1473-3099(17)30489-9.
Guinane CM, Tadrous A, Fouhy F, Ryan CA, Dempsey EM, Murphy B, et al. Microbial composition of human appendices from patients following appendectomy. mBio 2013;4:e00366–12. https://doi.org/10.1128/mBio.00366-12.
Guo X, Gonzalez JM, Shan G. Hospitalization rates of amebic liver abscess in the United States, 1993–2007. American Journal of Tropical Medicine and Hygiene 2014;90:166.
Haghighi A, Kobayashi S, Takeuchi T, Masuda G, Nozaki T. Remarkable genetic polymorphism among Entamoeba histolytica isolates from a limited geographic area. Journal of Clinical Microbiology 2002;40:4081–90.
Halvorsen RA, Korobkin M, Foster WL, Silverman PM, Thompson WM. The variable CT appearance of hepatic abscesses. American Journal of Roentgenology 1984;142:941–6.
Haque R, Huston CD, Hughes M, Houpt E, Petri WA Jr. Amebiasis. New England Journal of Medicine 2003;348:1565–73. https://doi.org/10.1056/NEJMra022710.
Haque R, Mollah NU, Ali IK, Alam K, Eubanks A, Lyerly D, et al. Diagnosis of amebic liver abscess and intestinal infection with the TechLab Entamoeba histolytica II antigen detection and antibody tests. Journal of Clinical Microbiology 2000;38:3235–9.
Haque R, Mondal D, Shu J, Roy S, Kabir M, Davis AN, et al. Correlation of interferon-\(\gamma\) production by peripheral blood mononuclear cells with childhood malnutrition and susceptibility to amebiasis. American Journal of Tropical Medicine and Hygiene 2007;76:340–4.
Haque R, Neville LM, Hahn P, Petri WA Jr. Rapid diagnosis of Entamoeba infection by using Entamoeba and Entamoeba histolytica stool antigen detection kits. Journal of Clinical Microbiology 1995;33:2558–61.
Houpt ER, Glembocki DJ, Obrig TG, Moskaluk CA, Lockhart LA, Wright RL, et al. The mouse model of amebic colitis reveals mouse strain susceptibility to infection and exacerbation of disease by CD4+ T cells. Journal of Immunology 2002;169:4496–503.
Huang CJ, Pitt HA, Lipsett PA, Osterman FA Jr., Lillemoe KD, Cameron JL, et al. Pyogenic hepatic abscess: Changing trends over 42 years. Annals of Surgery 1996;223:600–9. https://doi.org/10.1097/00000658-199605000-00016.
Huston CD. Parasite and host contributions to the pathogenesis of amebic colitis. Trends in Parasitology 2004;20:23–6.
Huston CD, Houpt ER, Mann BJ, Hahn CS, Petri WA Jr. Caspase 3-dependent killing of host cells by the parasite Entamoeba histolytica. Cellular Microbiology 2000;2:617–25.
Irusen EM, Jackson TFHG, Simjee AE. Asymptomatic intestinal colonization by pathogenic Entamoeba histolytica in amebic liver abscess: Prevalence, response to therapy, and pathogenic potential. Clinical Infectious Diseases 1992;14:889–93.
Jackson HT, Mongodin EF, Davenport KP, Fraser CM, Sandler AD, Zeichner SL. Culture-independent evaluation of the appendix and rectum microbiomes in children with and without appendicitis. PLoS ONE 2014;9:e95414. https://doi.org/10.1371/journal.pone.0095414.
Johnson JF. Viral agents of mesenteric adenitis and appendicitis. Pediatric Infectious Disease Journal 1993;12:178–9.
Kaplan GG, Gregson DB, Laupland KB. Population-based study of the epidemiology of and the risk factors for pyogenic liver abscess. Clinical Gastroenterology and Hepatology 2004;2:1032–8. https://doi.org/10.1016/S1542-3565(04)00459-8.
Körner H, Söndenaa K, Söreide JA, Andersen E, Nysted A, Lende TH, et al. Incidence of acute nonperforated and perforated appendicitis: Age-specific and sex-specific analysis. World Journal of Surgery 1997;21:313–7. https://doi.org/10.1007/s002689900235.
Lamps LW. Infectious causes of appendicitis. Infectious Disease Clinics of North America 2010;24:995–1018. https://doi.org/10.1016/j.idc.2010.07.012.
Lamps LW. Beyond Helicobacter: The expanding universe of bacterial infections of the gastrointestinal tract. Advances in Anatomic Pathology 2006;13:34–45.
Lamps LW, Madhusudhan KT, Havens JM, Greenson JK, Bronner MP, Chiles MC, et al. Pathogenic Yersinia DNA is detected in bowel and mesenteric lymph nodes from patients with Crohn’s disease. American Journal of Surgical Pathology 2003;27:220–7.
Lederman ER, Crum NF. Pyogenic liver abscess with a focus on Klebsiella pneumoniae as a primary pathogen: An emerging disease with unique clinical characteristics. American Journal of Gastroenterology 2005;100:322–31. https://doi.org/10.1111/j.1572-0241.2005.40310.x.
Lee JH, Park YS, Choi JS. The epidemiology of appendicitis and appendectomy in South Korea: National registry data. Journal of Epidemiology 2010;20:97–105.
Lee SS, Chen YS, Tsai HC, Wann SR, Lin HH, Huang CK, et al. Predictors of septic metastatic infection and mortality among patients with Klebsiella pneumoniae liver abscess. Clinical Infectious Diseases 2008;47:642–50.
Leippe M. Amoebapores. Parasitology Today 1997;13:178–83.
Liu YC, Cheng DL, Lin CL. Klebsiella pneumoniae liver abscess associated with septic endophthalmitis. Archives of Internal Medicine 1986;146:1913–6.
Livingston EH, Woodward WA, Sarosi GA, Haley RW. Disconnect between incidence of nonperforated and perforated appendicitis: Implications for pathophysiology and management. Annals of Surgery 2007;245:886–92. https://doi.org/10.1097/01.sla.0000256391.05233.aa.
McCabe R, Lambert L, Frazee B. Invasive Klebsiella pneumoniae infections in North America. Journal of Clinical Microbiology 2013;51:2852–6.
Meddings L, Myers RP, Hubbard J, Shaheen AA, Laupland KB, Dixon E, et al. A population-based study of pyogenic liver abscesses in the United States: Incidence, mortality, and temporal trends. American Journal of Gastroenterology 2010;105:117–24. https://doi.org/10.1038/ajg.2009.614.
Mégraud F. Campylobacter species and appendicitis. Journal of Clinical Microbiology 1988;26:1274–5.
Moonah SN, Jiang NM, Petri WA Jr. Host immune response to intestinal amebiasis. PLoS Pathogens 2013;9:e1003489. https://doi.org/10.1371/journal.ppat.1003489.
Moore R, O’Shea D, Geoghegan T, Cunningham PW, Silke C. Community-acquired Klebsiella pneumoniae liver abscess: An emerging infection in Ireland and Europe. Infection 2013;41:681–6.
Naaeder SB, Archampong EQ. Acute appendicitis and dietary fibre intake. West African Journal of Medicine 1998;17:264–7.
Petri WA Jr., Haque R, Mann BJ. The bittersweet interface of parasite and host: Lectin–carbohydrate interactions during human invasion by the parasite Entamoeba histolytica. Annual Review of Microbiology 2002;56:39–64. https://doi.org/10.1146/annurev.micro.56.012302.160959.
Petri WA Jr., Smith RD, Schlesinger PH, Murphy CF, Ravdin JI. Isolation of the galactose-binding lectin that mediates the in vitro adherence of Entamoeba histolytica. Journal of Clinical Investigation 1987;80:1238–44.
Puylaert JBCM, Vermeijden RJ, Werf SDJ van der, Doornbos L, Koumans RKJ. Incidence and sonographic diagnosis of bacterial ileocaecitis masquerading as appendicitis. The Lancet 1989;334:84–6.
Que X, Reed SL. Cysteine proteinases and the pathogenesis of amebiasis. Clinical Microbiology Reviews 2000;13:196–206. https://doi.org/10.1128/CMR.13.2.196.
Ragland BD, Ashley LS, Vaux DL, Petri WA Jr. Entamoeba histolytica: Target cells killed by trophozoites undergo DNA fragmentation which is not blocked by Bcl-2. Experimental Parasitology 1994;79:460–7.
Rahimian J, Wilson T, Oram V, Holzman RS. Pyogenic liver abscess: Recent trends in etiology and mortality. Clinical Infectious Diseases 2004;39:1654–9. https://doi.org/10.1086/425616.
Randal Bollinger R, Barbas AS, Bush EL, Lin SS, Parker W. Biofilms in the large bowel suggest an apparent function of the human vermiform appendix. Journal of Theoretical Biology 2007;249:826–31. https://doi.org/10.1016/j.jtbi.2007.08.032.
Roberts JP. Quantitative bacterial flora of acute appendicitis. Archives of Disease in Childhood 1988;63:536–40.
Rogers MB, Brower-Sinning R, Firek B, Zhong D, Morowitz MJ. The appendiceal microbiome is altered in association with cases of complicated appendicitis. Journal of Pediatric Surgery 2016;51:753–8.
Saebø A, Lassen J. Acute and chronic gastrointestinal manifestations associated with Yersinia enterocolitica infection. Annals of Surgery 1992;215:250–5.
Salminen P, Paajanen H, Rautio T, Nordström P, Aarnio M, Rantanen T, et al. Five-year follow-up of antibiotic therapy for uncomplicated acute appendicitis in the APPAC randomized clinical trial. JAMA 2018;320:1259–65. https://doi.org/10.1001/jama.2018.13201.
Schumpelick V, Dreuw B, Ophoff K, Prescher A. Appendix and cecum: Embryology, anatomy, and surgical applications. Surgical Clinics of North America 2000;80:295–318. https://doi.org/10.1016/S0039-6109(05)70407-2.
Seigneur M, Morgenstern E, Berthier R, Barragan A, Barbe V. Parasite virulence factors in amebiasis. Parasitology Research 1998;84:645–50.
Seydel KB, Smith SJ, Stanley SL Jr. Innate immunity to amebic liver abscess is dependent on gamma interferon and nitric oxide in a murine model of disease. Infection and Immunity 2000;68:400–2.
Short AR. The causation of appendicitis. British Journal of Surgery 1920;8:171–88.
Shorter NA, Thompson MD, Mooney DP, Modlin JF. Surgical aspects of an outbreak of Yersinia enterocolitis. Pediatric Surgery International 1998;13:2–5.
Singh JP, Mariadason JG. Role of the faecolith in modern-day appendicitis. Annals of the Royal College of Surgeons of England 2013;95:48–51. https://doi.org/10.1308/003588413X13511609954851.
Siu LK, Yeh KM, Lin JC, Fung CP, Chang FY. Klebsiella pneumoniae liver abscess: A new invasive syndrome. The Lancet Infectious Diseases 2012;12:881–7. https://doi.org/10.1016/S1473-3099(12)70205-0.
Solomkin JS, Mazuski JE, Bradley JS, Rodvold KA, Goldstein EJC, Baron EJ, et al. Diagnosis and management of complicated intra-abdominal infection in adults and children: Guidelines by the surgical infection society and the infectious diseases society of america. Clinical Infectious Diseases 2010;50:133–64. https://doi.org/10.1086/649554.
Srivastava S, Bhargava A. Host genetic susceptibility to amebiasis. Indian Journal of Medical Research 2005;121:225–30.
Stanley SL Jr. Amoebiasis. The Lancet 2003a;361:1025–34. https://doi.org/10.1016/S0140-6736(03)12830-9.
Stanley SL Jr. Amoebiasis. The Lancet 2003b;361:1025–34.
Stanley SL Jr., Jackson TFHG, Reed SL, Calderon J, Kunz-Jenkins C, Gathiram V, et al. Serodiagnosis of invasive amebiasis using a recombinant Entamoeba histolytica protein. JAMA 1991;266:1984–6.
Struve C, Bojer M, Nielsen EM, Hansen DS, Krogfelt KA. Investigation of the putative virulence gene magA in a worldwide collection of 495 Klebsiella isolates: magA is not associated with hypermucoviscosity. Journal of Medical Microbiology 2005;54:1111–3.
Swidsinski A, Dörffel Y, Loening-Baucke V, Theissig F, Rückert JC, Ismail M, et al. Acute appendicitis is characterised by local invasion with Fusobacterium nucleatum/necrophorum. Gut 2011;60:34–40. https://doi.org/10.1136/gut.2009.191320.
Swidsinski A, Loening-Baucke V. Spatial organization of intestinal microbiota in health and disease. Indian Journal of Gastroenterology 2012;31:1–6.
Tanyuksel M, Petri WA Jr. Laboratory diagnosis of amebiasis. Clinical Microbiology Reviews 2003;16:713–29. https://doi.org/10.1128/CMR.16.4.713-729.2003.
Thomsen RW, Jepsen P, Sørensen HT. Diabetes mellitus and pyogenic liver abscess: Risk and prognosis. Clinical Infectious Diseases 2007;44:1194–201. https://doi.org/10.1086/513201.
Tillack M, Biller L, Irmer H, Freitas M, Gomes MA, Tannich E, et al. The Entamoeba histolytica genome: Primary structure and expression of proteolytic enzymes. BMC Genomics 2007;8:170.
Toorenvliet B, Vellekoop A, Bakker R, Wiersma T, Mertens B, Bemelman W, et al. Clinical differentiation between acute appendicitis and acute mesenteric lymphadenitis in children. European Journal of Pediatric Surgery 2011;21:120–3.
Tsai FC, Huang YT, Chang LY, Wang JT. Pyogenic liver abscess as endemic disease, Taiwan. Emerging Infectious Diseases 2008;14:1592–600. https://doi.org/10.3201/eid1410.071254.
Vadillo M, Corbella X, Pac V, Fernández-Viladrich P, Pujol R. Yersinia enterocolitica liver abscess associated with hemochromatosis. Scandinavian Journal of Infectious Diseases 1994;26:485–6.
Wagner JM, McKinney WP, Carpenter JL. Does this patient have appendicitis? JAMA 1996;276:1589–94. https://doi.org/10.1001/jama.1996.03540190061030.
Walker AR, Segal I. Appendicitis: An African perspective. Journal of the Royal Society of Medicine 1995;88:616–9.
Wang JH, Liu YC, Lee SSJ, Yen MY, Chen YS, Wang JH, et al. Primary liver abscess due to Klebsiella pneumoniae in Taiwan. Clinical Infectious Diseases 1998a;26:1434–8.
Wang JH, Liu YC, Lee SSJ, Yen MY, Chen YS, Wann SR, et al. Primary liver abscess due to Klebsiella pneumoniae in Taiwan. Clinical Infectious Diseases 1998b;26:1434–8.
Wangensteen OH, Bowers WF. Significance of the obstructive factor in the genesis of acute appendicitis. Archives of Surgery 1937;34:496–526.
Yan L, Stanley SL Jr. Blockade of caspases inhibits amebic liver abscess formation in a mouse model of disease. Infection and Immunity 2001;69:7911–4.
Yu VL, Hansen DS, Ko WC, Sagnimeni A, Klugman KP, Gottberg A von, et al. Virulence characteristics of Klebsiella and clinical manifestations of K. pneumoniae bloodstream infections. Emerging Infectious Diseases 2007;13:986–93.
Zaki M, Meelu P, Sun W, Clark CG. Simultaneous differentiation and typing of Entamoeba histolytica and Entamoeba dispar. Journal of Clinical Microbiology 2002;40:1271–6.
Zhong D, Brower-Sinning R, Firek B, Morowitz MJ. Acute appendicitis in children is associated with an abundance of bacteria from the phylum Fusobacteria. Journal of Pediatric Surgery 2014;49:441–6. https://doi.org/10.1016/j.jpedsurg.2013.06.026.