Prophylaxis and Empirical Therapy of Infection in Cancer Patients

Febrile Neutropenia — From Risk Factors to Management

Author
Affiliation

Russell E. Lewis

Department of Molecular Medicine, University of Padua

Published

last-modified

Lecture slides

HTML slides

PDF of lecture slides

2024 NCCN Guidelines

NCCN guidelines

Infectious Diseases Society of America Fegrile Neutropenia Guidelines These guidelines are somewhat out of date but the general management approach and explanation of evidence is still valid.

Prophylaxis recommendations

Podcast episode on febrile neutroopenia

Lecture notes:

Learning Objectives

After completing this chapter, you should be able to:

  1. Identify the most common infections associated with short versus prolonged neutropenia
  2. Explain how skin, mucocutaneous lesions, abdominal pain, or pneumonia alter the infection differential diagnosis in neutropenic patients
  3. Describe common empiric antimicrobial regimens used in febrile neutropenia while awaiting diagnostic results
  4. Outline prophylaxis strategies tailored to patient risk and local epidemiology
  5. Differentiate between escalation and de-escalation empiric therapy strategies

Introduction

Cancer patients represent one of the best examples of how both a disease and its treatment can impair the complex immunologic network aimed at maintaining the integrity of the body and defending it against infections from both the external and internal environment. For decades it has been known that a granulocyte count of less than 500 cells/mm3 (and especially <100 cells/mm3) is associated with an increased risk of severe bacterial and fungal infections (Bodey Gerald P., 1966). Patients with granulocyte counts between 500 and 1000 cells/mm3 can present with severe infectious complications (e.g., bacteremia or invasive mycoses), especially if counts are rapidly decreasing, suggesting a “gray zone” that requires careful monitoring.

Other factors that affect the risk of infectious complications in these patients include damage to anatomic barriers such as skin and mucosal membranes, alterations of microbiota diversity, and the presence of indwelling devices. Mucositis itself might result in severe infections due to microbial translocation, even in the absence of neutropenia, and a central venous catheter (CVC) may facilitate the entrance of endogenous and exogenous bacteria and fungi into the bloodstream or subcutaneous tissues.

Contemporary recommendations for prevention and early treatment have to be mindful of growing antibiotic resistance worldwide, including gram-negatives producing extended-spectrum β-lactamases (ESBLs) or carbapenemases, and gram-positive organisms with methicillin- and vancomycin-resistance (Mikulska et al., 2014).

ImportantKey Concept

The clinical approach to a cancer patient with signs and symptoms of infection is multipronged. Before planning a rational management strategy, physicians should answer several crucial questions about the type and stage of underlying disease, clinical presentation, presence of antibiotic-resistant bacteria, local epidemiology, and the patient’s colonization or previous infectious history.

Epidemiology and Risk Factors for Infections in Cancer Patients

An understanding of underlying malignant disease and therapeutic regimens is critical for the implementation of safe and effective strategies to prevent and treat infection. Epidemiology and risks today vary from those in years past, as hosts, oncologic treatments, and supportive care strategies have changed. Incidence calculations that account for duration (days at risk) provide a better measure of infection risk, especially for people who undergo chronic and/or recurrent immunosuppressive therapies.

In general, the incidence and risks for infections are tightly correlated to the intensity of antineoplastic therapies, which varies for different underlying disease and stage (relapse vs. remission). Risks for both bacterial and fungal infections are generally lower in children compared to adults. Patients with acute myeloid leukemia (AML), both adults and children, have the highest incidence of fever, bacteremia, and invasive fungal diseases, especially during the first induction of remission and with relapsing leukemia when the intensity of chemotherapy is higher. A lower incidence of infection is observed in people with low-risk lymphoblastic leukemia, chronic lymphatic disorders, multiple myeloma, and non-Hodgkin lymphomas, whereas the lowest rates are observed in people with solid tumors, reflecting the intensity of antineoplastic treatment strategies.

Normal Hematopoiesis and the Impact of Chemotherapy

Figure 1: Normal hematopoiesis showing myeloid and lymphoid lineages

Myeloid lineage (neutrophils/platelets): Homogeneous, terminally differentiated effector cells that are short-lived and post-mitotic, with continuous high-throughput production and rapid quantitative recovery after chemotherapy (approximately 2–3 weeks).

Lymphoid lineage (T, B, NK cells): Highly heterogeneous populations with a mix of short-lived effector cells and long-lived memory cells.

Antineoplastic chemotherapy impairs proliferation of normal hematopoietic progenitor cells through obliteration of the mitotic pool and depletion of the marrow reserve. In addition, antineoplastic drugs, glucocorticoids, and irradiation interfere with the function of non-proliferating granulocytes, resulting in decreased chemotaxis, diminished phagocytic capacity, and defective intracellular killing.

Effects of Corticosteroids on Immune Function

Corticosteroids have paradoxical effects on granulocyte function (Chastain et al., 2023):

  • Increased granulocytopoiesis (apparent benefit) but decreased accumulation at infection sites
  • Decreased adherent capacity
  • Decreased chemotaxis
  • Decreased phagocytosis
  • Decreased intracellular killing
Figure 2: Effects of corticosteroids on immune function

Innate Immune Cells and Their Functions

Table 1: Innate immune cells and their effector molecules
Cells Molecules Active Against
PMNs (1° granules, specific granules) Lysozyme, myeloperoxidase (with H2O2), defensins, BPI, lactoferrin Bacteria, fungi
Macrophages Similar to PMN (no myeloperoxidase), nitric oxide, arginase Intracellular pathogens (depletes arginine)
Eosinophils Cationic proteins, major basic protein, peroxidase Worms (extracellular)
Natural killer (NK) cells Perforins, granzymes Viral or bacterial infected cells

Quantitative Relationship of Neutropenia with Infection Risk

The seminal work of Bodey et al. established the quantitative relationship between circulating leukocytes and infection in patients with acute leukemia (Bodey Gerald P., 1966).

Figure 3: Relationship between neutrophil count and infection risk, from the landmark Bodey et al. study

Key risk parameters for neutropenia-associated infection:

  • Duration: Nadir typically at 10–14 days, duration 3–4 weeks or longer
  • Depth: Risk increases with lower absolute neutrophil counts
  • Concurrent organ dysfunction: Amplifies infection risk

Risk by Disease Type

Table 2: Infection risk by underlying malignancy
Disease Risk Level
Acute myeloid leukemia (AML) Highest
High-risk ALL, relapsing leukemia High
Low-risk ALL, CLL, myeloma Moderate
Non-Hodgkin lymphoma Lower
Solid tumors Lowest
Note

Risk correlates with intensity of antineoplastic therapy. Children generally have lower infection risk than adults.

Clinical Signs of Infection Are Muted in Neutropenic Patients

An important concept in managing febrile neutropenia is that the typical signs and symptoms of infection are markedly attenuated in the setting of profound neutropenia (Sickles et al., 1975).

Table 3: Percentage of patients presenting with clinical signs according to neutrophil count
Signs and Symptoms <100 cells/mm3 101–1000 cells/mm3 >1000 cells/mm3
Fever 98% 90% 76%
Fluctuance 6% 36% 52%
Fissure or ulceration 21% 42% 54%
Exudate 11% 64% 91%
Purulent sputum 8% 67% 84%
Pyuria 11% 63% 97%
WarningClinical Pearl

Fever may be the only sign of a life-threatening infection in a severely neutropenic patient. The absence of classic inflammatory signs (fluctuance, exudate, purulent sputum) does not exclude serious infection.

Sources and Pathogenesis of Infection

The Integument

Skin: Chemotherapy causes hair loss and dryness, catheters provide direct microbial access, and broken skin allows entry of S. aureus and gram-negative organisms.

Oropharynx: Xerostomia combined with antibiotics leads to thrush and bacterial overgrowth.

Figure 4: Hypervirulent multidrug-resistant Pseudomonas aeruginosa infection in a neutropenic patient (Coppola et al., 2020)

Alimentary Tract and Mucosal Barrier Injury

Chemotherapy causes disruption of the gastrointestinal microbiome (Clostridioides difficile risk), mucosal barrier injury, facilitation of bacterial translocation, and in the context of neutropenia, allows progression to sepsis (Basile et al., 2019).

Figure 5: Chemotherapy-associated dysbiosis of the gastrointestinal microbiome
Figure 6: Model of mucosal barrier injury during anti-cancer treatment (Basile et al., 2019)
Figure 7: WHO oral toxicity scale for grading mucositis severity

Which Pathogens Translocate?

The gastrointestinal tract is the major reservoir for pathogens that cause bloodstream infections in neutropenic patients, including Enterobacterales, Enterococcus spp., viridans streptococci, and Candida spp.

Figure 8: Gastrointestinal sources of translocating pathogens

Most Common Bacterial Pathogens

Infectious sources are documented in only 20–30% of febrile neutropenic episodes, and bacteremia is documented in 10–25% of patients with fever. Both aerobic gram-positive and gram-negative organisms are implicated (Mikulska et al., 2014).

Figure 9: Etiology of bloodstream infections in cancer patients

Sequence of Infection During Neutropenia

The temporal pattern of infections during neutropenia follows a predictable sequence based on the duration of immunosuppression.

Figure 10: Typical sequence of infections during neutropenia

Risk of Infection by Duration of Neutropenia

NotePhase I (Days 1–10)
  • Coagulase-negative Staphylococcus spp.
  • Enterobacterales
  • Viridans streptococci
  • Anaerobes
  • Enterococcus
  • Clostridioides difficile
  • Herpes simplex virus
  • ± Candida spp.
NotePhase II (Days 10–27)

Phase I pathogens plus:

  • MRSA
  • Vancomycin-resistant Enterococcus (VRE)
  • Resistant gram-negative bacteria
  • Stenotrophomonas maltophilia
  • Herpes simplex virus
  • ± Candida spp.
NotePhase III (>27 Days)

Phase I & II pathogens plus:

  • Invasive molds (Aspergillus, Mucorales, Fusarium)

Invasive Pulmonary Aspergillosis Risk

The risk of invasive pulmonary aspergillosis increases dramatically with prolonged neutropenia (Gerson et al., 1984).

Figure 11: Relationship between duration of granulocytopenia and risk of invasive pulmonary aspergillosis

Non-Neutropenic Risk Factors

Beyond neutropenia, several other factors contribute to infection risk:

  • Mucositis — Barrier disruption, translocation
  • Central venous catheters — Entry point for pathogens
  • Microbiome alterations — Chemotherapy-induced dysbiosis
  • Immunosuppressive drugs — T-cell depletion
  • Biologic agents — Targeted immune effects

Central Venous Catheter–Related Infections

Table 4: CVC-related infection rates by catheter type
Catheter Type Per 100 Devices Per 1000 Catheter-Days
Hickman/Broviac 22.5 1.6
Port-a-cath 3.5–4.0 0.1
PICC 3.1 1.1

Infection rates for CVC-related infections vary across centers, with lower rates of infection reported in people with PICCs compared with centrally inserted central catheters. Patients with hematologic malignancies, especially those with acute leukemia, have a higher incidence of CVC-related infections compared to patients with lymphoma, myeloma, or solid tumors.

TipClinical Pearl

The role of CVCs in bacteremia might be overestimated, because CVCs can be a site of secondary localization of pathogens actually coming from the intestinal flora. Recent studies suggest that 40% to 50% of BSIs in oncologic settings are actually endogenous and associated with mucosal barrier injury.

Biologic Agents and Infection Risk

Table 5: Biologic agents and their associated infection risks
Agent Key Infections
Rituximab HBV reactivation, PML
Brentuximab PCP, PML
Bortezomib VZV reactivation
Ruxolitinib VZV, TB
Idelalisib HSV, CMV, PCP
Ibrutinib IFD (with steroids)

Impaired Cell-Mediated Immunity

When cell-mediated immunity is impaired (e.g., by T-cell depleting therapies, corticosteroids, or certain biologic agents), the spectrum of possible pathogens broadens considerably to include intracellular organisms and opportunistic pathogens.

Figure 12: Pathogens associated with impaired cell-mediated immunity
Warning

These pathogens are not covered by typical empiric regimens used for febrile neutropenia!

Changing Epidemiology and Antimicrobial Resistance

Resistant Pathogens of Concern

Gram-negative:

  • ESBL-producing Enterobacterales
  • Carbapenem-resistant Enterobacterales (CRE)
  • Stenotrophomonas maltophilia (intrinsically carbapenem-resistant)
  • MDR Pseudomonas aeruginosa

Gram-positive:

  • Methicillin-resistant Staphylococcus aureus (MRSA)
  • Vancomycin-resistant enterococci (VRE)

Risk Factors for Resistant Infections

  1. Previous infection/colonization with MDR organism
  2. Prior broad-spectrum antibiotic exposure
  3. Healthcare-associated infection
  4. Prolonged hospitalization
  5. Urinary catheter
  6. Older age
  7. ICU admission
ImportantKey Concept

Colonization with resistant bacteria is one of the most important risk factors for infection with resistant bacteria. Colonization-informed choice of empiric treatment for febrile neutropenia targeting the MDR colonizer might prevent breakthrough infections.

Fungal Pathogens

Aspergillus spp. and Candida spp. are the most common fungal pathogens in cancer patients, with the former now seen more frequently than the latter in hematology settings. Other fungal pathogens include P. jirovecii, cryptococci, molds such as Mucorales or Fusarium, and rare yeasts.

Most Common:

  • Aspergillus species (now > Candida in hematology)
  • Candida species (increasing non-albicans)

Emerging concerns:

  • Candida auris — MDR, biofilm-forming
  • Azole-resistant Aspergillus fumigatus
  • Mucorales (increasing in some centers)

Invasive Aspergillosis Incidence by Population

Table 6: Incidence of invasive aspergillosis by patient population
Population Incidence
Acute myelogenous leukemia (induction) 7.9%
Acute lymphocytic leukemia (adults) 4.3–11.7%
Chronic myelogenous leukemia 2.3%
CLL, lymphoma, myeloma <1%
Autologous HSCT 0.3–2%
Allogeneic HSCT 8–15%

Viral Infections

Herpes viruses:

  • HSV reactivation in up to 60% of seropositive patients with acute leukemia
  • VZV reactivation increased with bortezomib, ruxolitinib
  • CMV reactivation with T-cell suppressing regimens

Respiratory viruses: Influenza, RSV, parainfluenza, and SARS-CoV-2 can cause significant morbidity and mortality in cancer patients. Community-acquired respiratory viruses are probably underestimated as a cause of fever in this population.

Prophylaxis Strategies

Antibacterial Prophylaxis

The use of antibiotics to prevent bacterial infections should be weighed against efficacy, toxicity, and impact on the development of resistance. Fluoroquinolone (FQ) prophylaxis has been the most studied approach.

Table 7: Fluoroquinolone prophylaxis: pros and cons
Pros Cons
Reduces febrile episodes Increasing resistance, especially selection of ESBL
Reduces BSI No mortality benefit (recent data)
Oral administration Drug interactions
QT prolongation, tendinopathy
CautionControversy

The role of fluoroquinolone prophylaxis is controversial, with increased fluoroquinolone resistance observed in many centers. Recent meta-analyses did not confirm a mortality benefit, although prophylaxis was still associated with lower rates of BSI and febrile episodes. Some recent guidelines no longer recommend FQ prophylaxis, especially in centers with high levels of resistance (Taplitz et al., 2018).

Antifungal Prophylaxis

When to use mold-active prophylaxis:

  • Anticipated IFD incidence >8%
  • AML/MDS induction chemotherapy
  • High-risk ALL
  • Relapsing leukemia

Mold-active prophylaxis with posaconazole in adults receiving multiple cycles of chemotherapy for AML or MDS reduces the incidence of invasive mycosis from 8% to 2% compared with standard prophylaxis with fluconazole or itraconazole (Cornely et al., 2007):

  • NNT to prevent 1 IFD: 16
  • NNT to prevent 1 death: 27
Table 8: Antifungal prophylaxis agents and dosing
Agent Dose Indication
Fluconazole 400 mg daily Candidiasis risk only
Posaconazole tablets 300 mg BID day 1, then 300 mg daily AML/MDS/BMT
Voriconazole 200 mg BID Alternative (TDM needed)
Isavuconazole 200 mg daily (after loading) Alternative, not approved for prophylaxis
WarningDrug Interactions

Drug interactions between posaconazole (strong CYP3A4 inhibitor) and novel antileukemia drugs (e.g., venetoclax, midostaurin) or older agents (e.g., vinca alkaloids) can be problematic, potentially requiring reduced dosing of antileukemia drugs or alternative strategies. Interactions are less severe with fluconazole and isavuconazole (weak CYP3A4 inhibitors).

Pneumocystis Prophylaxis

Indications:

  • ALL (all ages)
  • Fludarabine, alemtuzumab, idelalisib therapy (T-cell suppressing chemotherapy)
  • Corticosteroids ≥10–20 mg/day × 4 weeks
  • CD4 <200/µL

First-line: TMP-SMX 160/800 mg three times weekly

Alternatives: Dapsone, atovaquone, aerosolized pentamidine

Antiviral Prophylaxis

HSV/VZV prophylaxis:

  • Acyclovir 800 mg BID or valacyclovir 500 mg BID
  • For seropositive patients with acute leukemia
  • Required with bortezomib, alemtuzumab, idelalisib

HBV prophylaxis:

  • Screen all patients before chemotherapy (HBsAg and HBcAb)
  • Entecavir or tenofovir for HBsAg-positive patients
  • Continue 6–18 months post-chemotherapy
ImportantHBV Reactivation Risk

HBV reactivation is frequent in cancer patients with chronic inactive HBV infection, and can also occur in patients with resolved HBV infection (HBsAg negative, HBcAb positive), particularly after treatment with rituximab (up to 40% of patients). Antiviral prophylaxis with a high genetic barrier to resistance is essential.

Granulocyte Colony-Stimulating Factor (G-CSF)

Primary prophylaxis: Recommended when febrile neutropenia risk >20%, based on age, comorbidities, and chemotherapy regimen.

Secondary prophylaxis: Recommended after prior neutropenic complications when dose reduction would compromise outcomes.

Vaccination Recommendations

Table 9: Vaccination recommendations for cancer patients
Vaccine Timing Notes
Influenza Annual Avoid during intensive chemotherapy
Pneumococcal (PCV) Before chemotherapy if possible Better response than PPSV23
SARS-CoV-2 3-dose primary + boosters All patients and contacts
Herpes zoster (RZV) VZV seropositive Inactivated vaccine

Management of Febrile Neutropenia

Definition of Fever

For the purposes of starting empirical antibiotic therapy, fever is defined as:

  • Single temperature ≥38.5°C (oral/axillary), OR
  • Two measurements ≥38.0°C separated by ≥1 hour
CautionMedical Emergency

Fever during neutropenia is a medical emergency. Any delay in antibiotic administration increases mortality. Also consider infection in patients with hypothermia (<35.5°C), altered mental status, hypotension, or skin/mucosal lesions — even without fever.

Classification of Febrile Episodes

Febrile episodes during the course of neutropenia are classified according to infection status:

  1. Microbiologically documented with bacteremia — Positive blood culture (isolation of a significant pathogen from one or more blood cultures)
  2. Microbiologically documented without bacteremia — Other site culture positive (isolation of a significant pathogen from a well-defined site of infection)
  3. Clinically documented — Signs/symptoms of infection without microbiologic proof
  4. Fever of unknown origin (FUO) — No clinical or microbiologic documentation, but clinical course compatible with infection

Risk Stratification

MASCC Score

The Multinational Association for Supportive Care in Cancer (MASCC) risk index identifies low-risk febrile neutropenic patients (Klastersky et al., 2000).

Table 10: MASCC risk index scoring system. Score >21 = Low risk
Variable Points
Burden of illness: none/mild 5
Burden of illness: moderate 3
No hypotension 5
No COPD 4
Solid tumor/no prior fungal infection 4
Outpatient status 3
No dehydration 3
Age <60 years 2

CISNE Score

The Clinical Index of Stable Febrile Neutropenia (CISNE) is particularly useful for patients with solid tumors who appear clinically stable (Carmona-Bayonas et al., 2015).

Table 11: CISNE score for solid tumor patients. Score ≥3 = High risk
Variable Points
ECOG PS ≥2 2
Hyperglycemia stress 2
COPD 1
Cardiovascular disease 1
Mucositis grade ≥2 1
Monocytes <200/µL 1

Treatment Strategies

Two main approaches exist for empiric antibacterial therapy:

Escalation strategy:

  • Start narrow, broaden if needed
  • For stable patients without risk of MDR pathogens

De-escalation strategy:

  • Start broad, narrow when microbiology results available
  • For unstable patients or those with MDR colonization

Escalation Strategy

Day 0:

  • Anti-Pseudomonas β-lactam monotherapy
  • Piperacillin-tazobactam, cefepime, or ceftazidime

Day 2–4 (if needed):

  • Add vancomycin if skin/catheter infection suspected
  • Add aminoglycoside and/or change to anti-pseudomonal carbapenem if septic
  • Add antifungal if persistent fever

De-escalation Strategy

Day 0:

  • Carbapenem (meropenem) ± aminoglycoside
  • Or targeted therapy based on colonization data

Day 2–4:

  • De-escalate based on culture results
  • Stop aminoglycoside if not needed
  • Narrow spectrum if pathogen identified

Key Antibiotics for Empiric Treatment

Table 12: Key antibiotics for empiric treatment of febrile neutropenia
Drug Adult Dose Administration When to Use
Piperacillin-tazobactam 4.5 g q6–8h Extended/continuous infusion Low risk of ESBL
Cefepime 2 g q8h Extended infusion Low risk of ESBL
Meropenem 1–2 g q8h Extended infusion (3–6h) Higher risk of ESBL
Ceftazidime-avibactam 2.5 g q8h 2-hour infusion Higher risk of KPC carbapenemase
Ceftolozane-tazobactam 1.5–3 g q8h 1-hour infusion Higher risk of MDR P. aeruginosa
TipClinical Pearl

Extended/continuous infusion of β-lactams improves pharmacodynamic target attainment (time above MIC) and may improve clinical outcomes in neutropenic patients.

Glycopeptide Use (MRSA Coverage)

Add vancomycin or alternative for:

  • Suspected catheter-related infection
  • Skin/soft tissue infection
  • Known MRSA colonization
  • Severe sepsis with hypotension
  • Pneumonia
  • Prior MRSA infection

Stop after 48–72 hours if no gram-positive pathogen identified.

Duration of Therapy

For FUO:

  • If afebrile 48–72h and clinically stable: consider stopping
  • Short courses (72h) have been shown safe in selected patients (Aguilar-Guisado et al., 2017)

For documented infection:

  • Guided by pathogen, site, and response
  • Generally until neutrophil recovery and clinical cure
  • Duration is not necessarily longer in neutropenia

Assessing Clinical Response

  • Documented infection: Treat for the appropriate duration based on specific pathogen and site
  • Fever resolved, unknown origin, ANC ≥500: Discontinue empiric antibiotics
  • Fever resolved, unknown origin, ANC <500: Options include discontinuing therapy, de-escalating to prophylaxis, or continuing until neutropenia resolves
  • Not responding/clinically worsening: Broaden antimicrobial coverage, obtain imaging, consider adding G-CSF, obtain ID consultation
  • Persistent fever ≥4 days on empiric antibiotics: Consider adding antifungal therapy with anti-mold activity

Antifungal Therapy

Empirical vs. Diagnostic-Driven Approach

Empirical approach:

  • Start antifungal after 4–7 days of persistent fever
  • Traditional approach with high antifungal exposure and overtreatment

Diagnostic-driven approach:

  • Use biomarkers (galactomannan [GM], β-D-glucan [BDG]) + CT imaging
  • Reduces unnecessary antifungal use
  • Requires good diagnostic infrastructure

Diagnostic Tools for Invasive Fungal Disease

Table 13: Diagnostic tools for invasive fungal disease
Test Target Specimen
Galactomannan (GM) Aspergillus Serum, BAL
β-D-glucan (BDG) Broad fungi (not Mucorales) Serum
PCR Species-specific Blood, BAL
CT imaging Structural changes Chest/sinuses

Mucormycosis

Figure 13: Clinical and radiographic features of mucormycosis

Antifungal Selection

Table 14: First-line antifungal therapy by indication
Indication First-line
Invasive aspergillosis Voriconazole or isavuconazole
Mucormycosis Liposomal amphotericin B
Candidemia Echinocandin
Empirical therapy Liposomal amphotericin B or caspofungin

Specific Clinical Presentations

Central Venous Catheter Infections

Figure 14: Biofilm formation cycle on central venous catheters
Figure 15: Staphylococcus aureus biofilm on catheter surface

Management depends on: organism (CoNS vs S. aureus vs gram-negatives), presence of tunnel/pocket infection, and clinical stability.

Catheter removal is indicated for:

  • S. aureus, Candida, or Pseudomonas bacteremia
  • Tunnel infection
  • Persistent bacteremia despite appropriate antibiotic therapy

Skin Lesions

Skin lesions in neutropenic patients may represent evidence of disseminated infection via hematogenous spread and should prompt urgent evaluation.

Figure 16: Skin lesions as evidence of disseminated infection in neutropenic patients

Oral and Upper GI Infections

Candida — Thrush, esophagitis (odynophagia, retrosternal pain)

Vesicular lesions — Painful grouped lesions progressing to ulceration (HSV)

Figure 17: Oral infections in neutropenic patients: Candida and HSV

Disseminated HSV — Widespread vesicular rash, hepatitis (elevated AST/ALT, sometimes severe), pneumonitis

Pneumonia

Important

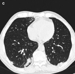
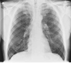
Among febrile neutropenic patients with a “normal” chest X-ray, up to 60% may have findings of pneumonia on CT scanning.

Figure 18: Normal chest X-ray in a neutropenic patient with occult pneumonia
Figure 19: CT scan revealing pulmonary infiltrates not visible on chest X-ray

Common CT Findings in Neutropenic Pneumonia

Figure 20: CT imaging patterns and their differential diagnosis in neutropenic patients

Bronchoscopy

Figure 21: Role of bronchoscopy and BAL in the diagnosis of pulmonary infections in neutropenic patients

Neutropenic Enterocolitis (Typhlitis)

Figure 22: CT findings in neutropenic enterocolitis showing bowel wall thickening

Key features:

  • Fever, abdominal pain, diarrhea
  • Right lower quadrant tenderness
  • CT: Bowel wall thickening (primarily cecum and ascending colon)

Management:

  • Broad-spectrum antibiotics including anaerobic coverage
  • Bowel rest, NG suction if obstruction
  • Surgery only for perforation or hemorrhage

Clostridioides difficile Colitis

C. difficile is common in cancer patients, with an incidence twofold higher than in the noncancer population and up to sixfold higher in hematology patients (McDonald et al., 2018).

First-line treatment: Reduce unnecessary antibiotics → oral vancomycin 125 mg QID for 10 days or fidaxomicin 200 mg BID for 10 days

Fulminant disease: Oral vancomycin 500 mg QID (or via NG tube) combined with IV metronidazole 500 mg TID; consider rectal vancomycin instillation if ileus is present

Ongoing/worsening CDI: Fidaxomicin if initially treated with vancomycin → fecal microbiota transplant (if not neutropenic)

CDI resolved but at risk of recurrence: Consider prophylactic vancomycin during subsequent antibiotic courses, taper regimens, fecal transplant (if not neutropenic), or bezlotoxumab

Antimicrobial Stewardship

Core Components

Antimicrobial stewardship in cancer centers is mandatory and should include:

  1. Surveillance — Local monitoring of antibiotic and antifungal resistance, antibiotic and antifungal consumption, and patient outcomes in selected infections
  2. Protocols — Development and regular update of local guidelines for prevention and treatment
  3. Rapid diagnostics — Updated diagnostic methods and prompt reporting of microbiologic results, enabling early de-escalation
  4. Dose optimization — TDM for azoles, drug interaction screening, PK/PD-guided dosing of β-lactams

These require close collaboration between treating physicians, the microbiology laboratory, the infectious diseases consultation service, the infection control unit, the hospital pharmacy, and a medical pharmacologist.

Key Stewardship Interventions

  • Timely de-escalation based on culture results
  • Duration optimization (avoid excessive courses)
  • IV-to-oral conversion when appropriate
  • Prospective audit and feedback
  • Restricted antibiotic authorization
  • Education for prescribers
NoteStewardship in Oncology

Stewardship is especially important in oncology where prolonged antibiotics and prophylaxis are common, creating selective pressure for resistance. The balance between preventing life-threatening infections and minimizing collateral damage from antimicrobial overuse is particularly challenging in this population.

Summary: Key Takeaways

  1. Neutropenia is the primary risk factor for infection, but many other factors contribute including mucosal barrier injury, CVCs, microbiome disruption, and immunosuppressive therapies
  2. Epidemiology is shifting toward gram-negatives and multidrug-resistant organisms worldwide
  3. Prophylaxis must be tailored to risk level and local epidemiology — fluoroquinolone prophylaxis is increasingly controversial
  4. Febrile neutropenia requires prompt empirical antibiotic therapy — fever may be the only sign of life-threatening infection
  5. Escalation vs. de-escalation strategies depend on patient risk, clinical stability, and MDR colonization status
  6. Antifungal therapy can be empirical or diagnostic-driven, with the latter reducing unnecessary antifungal exposure
  7. Antimicrobial stewardship is essential to preserve antimicrobial efficacy in this vulnerable population

References

Aguilar-Guisado M, Espigado I, Martín-Peña A, al. et. Optimisation of empirical antimicrobial therapy in patients with haematological malignancies and febrile neutropenia (How Long study): An open-label, randomised, controlled phase 4 trial. The Lancet Haematology 2017;4:e573–83. https://doi.org/10.1016/S2352-3026(17)30195-X.
Basile D, Di Nardo P, Corvaja C, Garattini SK, Pelizzari G, Lisanti C, et al. Mucosal injury during anti-cancer treatment: From pathobiology to bedside. Cancers 2019;11:857. https://doi.org/10.3390/cancers11060857.
Bodey Gerald P. M Buckley. Quantitative relationships between circulating leukocytes and infection in patients with acute leukemia. Annals of Internal Medicine 1966;64:328–40. https://doi.org/10.7326/0003-4819-64-2-328.
Carmona-Bayonas A, Jiménez-Fonseca P, Virizuela Echaburu J, al. et. Prediction of serious complications in patients with seemingly stable febrile neutropenia: Validation of the clinical index of stable febrile neutropenia in a prospective cohort of patients from the FINITE study. Journal of Clinical Oncology 2015;33:465–71. https://doi.org/10.1200/JCO.2014.56.3147.
Chastain DB, Spradlin M, Ahmad H, Henao-Martínez AF. Unintended consequences: Risk of opportunistic infections associated with long-term glucocorticoid therapies in adults. Clinical Infectious Diseases 2023:ciad474. https://doi.org/10.1093/cid/ciad474.
Coppola PE, Gaibani P, Sartor C, Ambretti S, Lewis RE, Sassi C, et al. Ceftolozane-tazobactam treatment of hypervirulent multidrug resistant pseudomonas aeruginosa infections in neutropenic patients. Microorganisms 2020;8:1–11. https://doi.org/10.3390/microorganisms8122055.
Cornely OA, Maertens J, Winston DJ, al. et. Posaconazole vs. Fluconazole or itraconazole prophylaxis in patients with neutropenia. New England Journal of Medicine 2007;356:348–59. https://doi.org/10.1056/NEJMoa061094.
Gerson SL, Talbot GH, Hurwitz S, Lusk EJ, Strom BL, Cassileth BR. Prolonged granulocytopenia: The major risk factor for invasive pulmonary aspergillosis in patients with acute leukemia. Annals of Internal Medicine 1984;100:345–51. https://doi.org/10.7326/0003-4819-100-3-345.
Klastersky J, Paesmans M, Rubenstein EB, al. et. The multinational association for supportive care in cancer risk index: A multinational scoring system for identifying low-risk febrile neutropenic cancer patients. Journal of Clinical Oncology 2000;18:3038–51. https://doi.org/10.1200/JCO.2000.18.16.3038.
McDonald LC, Gerding DN, Johnson S, al. et. Clinical practice guidelines for Clostridioides difficile infection in adults and children: 2017 update by the IDSA and SHEA. Clinical Infectious Diseases 2018;66:e1–48. https://doi.org/10.1093/cid/cix1085.
Mikulska M, Viscoli C, Orasch C, Livermore DM, Averbuch D, Cordonnier C, et al. Aetiology and resistance in bacteraemias among adult and paediatric haematology and cancer patients. Journal of Infection 2014;68:321–31. https://doi.org/10.1016/j.jinf.2013.12.006.
Sickles EA, Greene WH, Wiernik PH. Clinical presentation of infection in granulocytopenic patients. Archives of Internal Medicine 1975;135:715–9.
Taplitz RA, Kennedy EB, Bow EJ, al. et. Antimicrobial prophylaxis for adult patients with cancer-related immunosuppression: ASCO and IDSA clinical practice guideline update. Journal of Clinical Oncology 2018;36:3043–54. https://doi.org/10.1200/JCO.2018.79.6010.