Russell Lewis
Associate Professor, Infectious Diseases
Department of Molecular Medicine
MEP 2491 Infectious Diseases
27 March 2023
Identify the most common causes of infectious diarrhea in adult patients in resource-rich settings
Describe how the patient history and clinical presentation of diarrhea may favour viral versus bacterial causes that benefit from antibiotic therapy
Recognize warning signs for severe diarrheal disease that require immediate hospitalization and/or antibiotic therapy
Describe management approach and treatment of common infectious diarrheal pathogens
We will not be discussing (in detail) diarrheal diseases in resource-poor countries. Information on these infections should be obtained from the WHO guidelines
Image: Centers for Disease Control
Incubation of 1-4 days
Main serotypes E. coli O157:H7 or E. coli O101:h4 (STEC)
Often cause bloody diarrhea, abdominal tenderness with lack of fever
Occasional cause of pseudomembranous colitis (when negative for C. difficile)
Increased white blood cell count
Associated with outbreaks (contaminated food)
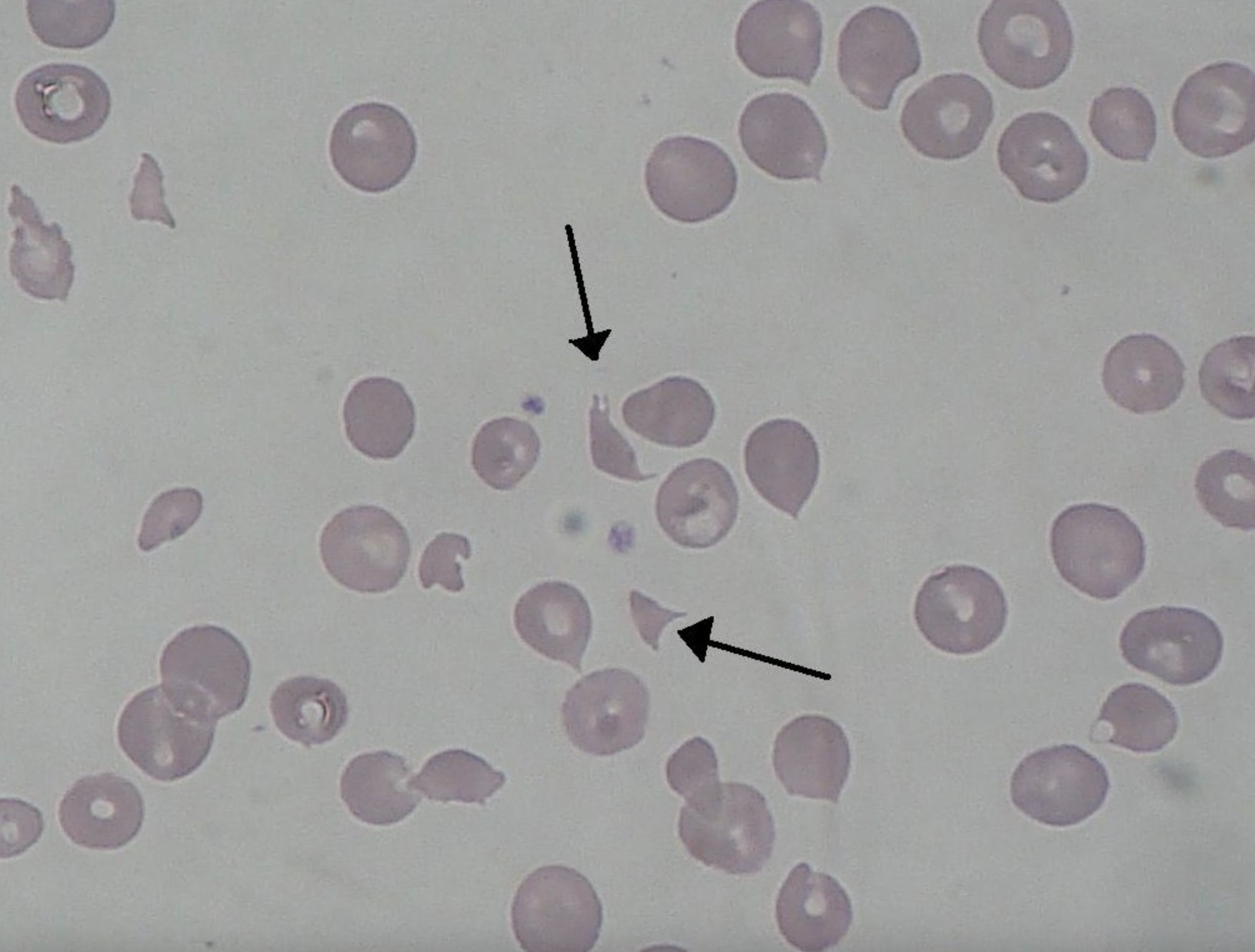
Can cause hemolytic uremia syndrome (5-10 days after diarrhea) 6-9% of EHEC infections affecting mostly children < 10 years:
Renal failure
Thrombocytopenia
Thrombotic microangiopathic anemia (↓ PLT count, haptoglobin, RBC, ↑LDH, SeCr)
Neurologic symptoms-motor deficits and seizure (4%)
Abrupt, sever, cramping, colicky, periumbilical- not always accompanied by diarrhea
Radiates to right iliac fossa in time, mimicking appendicitis and may persist after diarrhea settles
Nausea and vomiting (15-25% of patients)
Bacteremia (0.1-1%), especially immunocompromised, hypogammaglobulinemic
Stool culture Gram stain
Stepwise over a series of weeks:

Toxins result in loss of water and solutes
Cause HUS similar to E.Coli 0157 (Stx toxin)- 8% of children

Yersiniosis, causes by Yersinia entercolitica or Yersinia pseudotuberculosis is a zoonotic infection
Associated with unpasteurized milk, undercooked meat (especially pork), water contaminated with feces- pigs are common source of infection
After ingestion, organism proliferates in lymphoid tissue of small intestine where it may cause hyperemia, neutrophil infiltration and ulceration
Patients may present with pharyngitis (20%)- not seen with other causes of gastroenteritis


Spec et al. Comprehensive review of infectious diseases

| Likely pathogens | Mean incubation period | Classic/ common food sources | Other epidemiologic clues | |
|---|---|---|---|---|
| Watery diarrhea | Norovirus | 24 to 48 hours | -Shellfish, prepared foods, vegetables, fruit | Outbreaks in: - Restaurants - Health care facilities - Schools and childcare centers - Cruise ships - Military populations |
| Clostridioides (formerly Clostridium difficile) | N/A | N/A | Antibiotic use - Hospitalization - Cancer chemotherapy - Gastric acid suppression - Inflammatory bowel disease |
|
| Clostridium perfringens | 8 to 16 hours | Meat, poultry, gravy, home-canned goods | ||
| Enterotoxigenic Escherichia coli (ETEC) | 1 to 3 days | Fecally contaminated food or water | -Travel to resource-limited settings | |
| Other enteric viruses (rotavirus, enteric adenovirus, astrovirus, sapovirus) | 10 to 72 hours | Fecally contaminated food or water | -Daycare centers -Gastroenteritis in children -Immunocompromised adults |
|
| Giardia lamblia | 7 to 14 days | Fecally contaminated food or water | -Daycare centers -Swimming pools -Travel, hiking, camping (particularly when there is contact with water in which beavers reside) |
|
| Cryptosporidium parvum | 2 to 28 days | Vegetables, fruit, unpasteurized milk | -Daycare centers -Swimming pools and recreational water sources - Animal exposure -Chronic diarrhea in advanced HIV infection |
|
| Listeria monocytogenes | 1 day (gastroenteritis) | Processed/delicatessen meats, hot dogs, soft cheese, pâtés, and fruit | -Pregnancy -Immunocompromising condition -Extremes of age |
|
| Cyclospora cayetanensis | 1 to 11 days | Imported berries, herbs | -Chronic diarrhea in advanced HIV infection | |
| Inflammatory diarrhea (fever, mucoid or bloody stools)¶ |
Nontyphoidal Salmonella | 1 to 3 days | -Poultry, eggs, and egg products, fresh produce, meat, fish, unpasteurized milk or juice, nut butters, spices | -Animal contact (petting zoos, reptiles, live poultry, other pets) -Travel to resource-limited settings |
| Campylobacter spp | 1 to 3 days | Poultry, meat, unpasteurized milk | -Travel to resource-limited settings -Animal contact (young puppies or kittens, occupational contact) |
|
| Shigella spp | 1 to 3 days | Raw vegetables | -Daycare centers Crowded living conditions -Men who have sex with men -Travel to resource-limited settings |
|
| Enterohemorrhagic E. coli (EHEC) | 1 to 8 days | Ground beef and other meat, fresh produce, unpasteurized milk and juice | -Daycare centers -Nursing homes -Extremes of age |
|
| Yersinia spp | 4 to 6 days | Pork or pork products, untreated water | -Abnormalities of iron-metabolism (eg, cirrhosis, hemochromatosis, thalassemia) -Blood transfusion |
|
| Vibrio parahemolyticus | 1 to 3 days | Raw seafood and shellfish | Cirrhosis | |
| Entamoeba histolytica | 1 to 3 weeks | Fecally contaminated food or water | Travel to resourcelimited settings Men who have sex with men |
Clostridioides (formerly Clostridium) difficile can also present with inflammatory diarrhea.
¶ Pathogens that are more classically associated with inflammatory diarrhea can also cause watery diarrhea, particularly early in the course of infection.

| Pathogen | Small bowel | Colon |
|---|---|---|
| Bacteria | Salmonella Escherichia coli¶ Clostridium perfringens Staphylococcus aureus Aeromonas hydrophila Bacillus cereus Vibrio cholerae |
Campylobacter Shigella Clostridioides difficile Yersinia Vibrio parahaemolyticus Enteroinvasive E. coli Plesiomonas shigelloides Klebsiella oxytoca (rare) |
| Virus | Rotavirus Norovirus Astrovirus |
Cytomegalovirus* Adenovirus Herpes simplex virus |
| Protozoa | *Cryptosporidium Microsporidium _Cystoisospor*a_ Cyclospora Giardia lamblia |
Entamoeba histolytica |
¶ EPEC, EAggEC, EHEC, ETEC may all contribute; routine laboratories and cultures will not differentiate these from E. coli which are normal flora
Fever, bloody or mucoid stools suggest invasive bacteria (eg, Salmonella, Shigella, or Campylobacter), enteric viruses (eg, cytomegalovirus [CMV] or adenovirus), Entamoeba histolytica, or C. difficile.
| Major presenting symptom | Likely microbes | Incubation period | Likely food sources |
|---|---|---|---|
| Vomiting | S. aureus | 1 to 6 hours | Prepared food, eg, salads, dairy, meat |
| B. cereus | 1 to 6 hours | Rice, meat | |
| Norwalk-like viruses | 24 to 48 hours | Shellfish, prepared foods, salads, sandwiches, fruit | |
| Watery diarrhea | C. perfringens | 8 to 16 hours | Meat, poultry, gravy |
| Enterotoxigenic E. coli | 1 to 3 days | Fecally contaminated food or water | |
| Enteric viruses | 10 to 72 hours | Fecally contaminated food or water | |
| C. parvum | 2 to 28 days | Vegetables, fruit, unpasteurized milk, water | |
| C. cayetanensis | 1 to 11 days | Imported berries, basil | |
| Inflammatory diarrhea | Campylobacter spp | 2 to 5 days | Poultry, unpasteurized milk, water |
| Nontyphoidal Salmonella | 1 to 3 days | Eggs, poultry, meat, unpasteurized milk or juice, fresh produce | |
| Shiga toxin-producing E. coli | 1 to 8 days | Ground beef, unpasteurized milk and juice, raw vegetables, water | |
| Shigella spp | 1 to 3 days | Fecal contamination of food and water | |
| V. parahemolyticus | 2 to 48 hours | Raw shellfish |
Incubation period and likely food sources are shown for each.
Modified from Centers for Disease Control and Prevention. Diagnosis and management of food borne illness, a primer for physicians. MMWR Recomm Rep April 16, 2004 / 53(RR04);1-33
Abdominal examination should focus on signs that suggest ileus or peritonitis
{width=“600” center}
Goal: Identify a potential bacterial pathogen that would inform the potential for complications and treatment decisions
The optimal specimen for culture is a diarrheal stool specimen (conforms to container)o, which should be inoculated onto culture plates as quickly as possible.
Routine stool culture will identify Salmonella, Campylobacter, and Shigella
E. coli O157:H7 can be isolated on sorbitol-MacConkey plates or identified with antigen testing or polymerase chain reaction of stool
A stool culture that is positive for one of these pathogens in a patient with acute diarrheal symptoms can be interpreted as a true positive.
If a stool specimen cannot be obtained promptly, a rectal swab culture can be obtained to accelerate the diagnosis although some data suggest decreased sensitivity in adults
May need to specify bacteria of interest
Bacterial pathogens are generally excreted continuously, in contrast to ova and parasites, which are often shed intermittently.
Thus, a negative culture is usually not a false negative, and repeat specimens are rarely required.
| Carbohydrate (g/L) |
mEq/L | Osmolarity (mOSM/kg H2O) |
|||
|---|---|---|---|---|---|
| Sodium | Potassium | Base (HCO3–) | |||
| Oral rehydration solutions | |||||
| CeraLyte | 40 | 70 | 20 | 10 | 235 |
| Enfalyte | 30 | 50 | 25 | 30 | 200 |
| Pedialyte | 25 | 45 | 20 | 30 | 250 |
| Rehydralyte | 25 | 75 | 20 | 30 | 310 |
| WHO (1975) | 20 | 90 | 30 | 30 | 310 |
| WHO (2002) | 13.5 | 75 | 20 | 30 | 245 |
| Commonly Used Beverages (not appropriate for repletion therapy) | |||||
| Apple juice | 100 to 150 | 3 | 20 | 0 | 700 |
| Chicken broth | 0 | 250 | 5 | 0 | 450 |
| Colas | 100 to 150 | 2 | 0.1 | 13 | 550 |
| Gatorade | 45 | 20 | 3 | 3 | 330 |
| Ginger Ale | 90 | 3.5 | 0.1 | 3.6 | 565 |
| Tea | 0 | 0 | 0 | 0 | 5 |
ORSs were developed following the realization that, in many small bowel diarrheal illnesses, intestinal glucose absorption via sodium-glucose cotransport remains intact. Thus, in diarrheal disease caused by any organism that depends on small bowel secretory processes, the intestine remains able to absorb water if glucose and salt are also present to assist in the transport of water from the intestinal lumen